Стоматолог Макаев Эмиль Менирович — цены, отзывы, стаж — Принимает в Москве

Макаев Эмиль Менирович

Макаев Эмиль Менирович - фотография

5.0
Рейтинг: 5.0
Отзывов: 5
Положительных: 5
Отрицательных: 0
Последний : 2408 дн. назад
5 отзывов
стоматолог-терапевт
стоматолог-хирург
стоматолог-имплантолог
пародонтолог
Стаж 16 лет
Макаев Эмиль Менирович принимает в «Центр дентальной имплантации ИМПЛАНТ ЛАБ» в Москве. Стаж 16 лет. Специализируется на терапии, хирургии, имплантологии и пародонтологии, по которым клиника оказывает 12 услуг. Имеет 4 работы до/после в портфолио. Квалификация специалиста подтверждена 2 лицензиями, сертификатами и наградами. Для уточнения дополнительной информации о специалисте или записи на прием можно позвонить по телефону
+7 (495)Показать телефон
.

Где принимает:

Опыт 16 лет
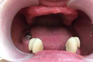
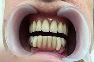
4 работы в портфолио
2 сертификата

Макаев Эмиль Менирович: портфолио (4)

Отзывы о враче Макаев Эмиль Менирович

Рейтинг: 5
Отзывов: 5
Положительных: 5
Отрицательных: 0
Последний: 2408 дн. назад
5.0
Почему нашим отзывам можно доверять?
4 октября 2019 г.
1 2 3 4 5
Била на чистке «Вариус» у врача Макаева Эмиля Менировича. Врач потрясающий, выдержал мое нытье и отлично провел процедуру. Ситуация с зубами кардинально поменялась в лучшую сторону. Огромное спасибо!!!
14 февраля 2019 г.
1 2 3 4 5
Большое спасибо доктору Макаеву Э.М. за внимательное и доброжелательное отношение ко мне (я трусиха), за его хорошие руки и безболезненные процедуры. С уважением Гладышева
30 января 2019 г.
1 2 3 4 5
Огромная благодарность доктору Макаеву Эмилю. Вы для меня сделали просто чудо!!! Спасибо!!! Теперь лечится только к Вам!! И всем своим друзьям буду Вас рекомендовать! С уважением Светлана.
15 декабря 2018 г.
1 2 3 4 5
Огромное спасибо за профессиональные руки и отличную работу. Доктору Макаеву Э.М ходим Всей симьей. Большое спасибо за внимание и заботливое отношение.
12 декабря 2018 г.
1 2 3 4 5
Большое спасибо доктору Макаеву Э.М, за коронки (отлично сделаны) которые не от лечить от своих зубов. Спасибо за лечение, внимательное отношение. Если оценивать по шкале, то высшая оценка. Буду обязательно рекомендовать другим этого замечательного доктора. Спасибо руководству клиники за подбор кадров.
    Помогите другим сделать правильный выбор — оставьте свой отзыв о докторе
    Написать отзыв

    Услуги стоматолога в других клиниках

    Терапевтическая стоматология
    Лечение кариеса от 3 500 ₽ до 14 500 ₽
    Лечение пульпита от 5 000 ₽ до 35 000 ₽
    Еще услуги
    Пародонтология
    Лечение пародонтита от 170 ₽ до 33 600 ₽
    Лечение пародонтоза от 170 ₽ до 24 800 ₽
    Еще услуги
    Хирургическая стоматология
    Удаление зубов от 1 150 ₽ до 25 000 ₽
    Удаление кисты и гранулемы зуба от 600 ₽ до 48 500 ₽
    Еще услуги