Стоматолог Мусаев Султан Мусаевич — цены, отзывы, стаж — Принимает в Москве

Мусаев Султан Мусаевич

Мусаев Султан Мусаевич - фотография

5.0
Рейтинг: 5.0
Отзывов: 48
Положительных: 48
Отрицательных: 0
Последний : 3039 дн. назад
48 отзывов
стоматолог-ортопед
Стаж 19 лет
Мусаев Султан Мусаевич принимает в «Стоматологическая клиника ВИВАДЕНТ» в Москве. Стаж 19 лет. Специализируется на ортопедии, по которой клиника оказывает 13 услуг. Имеет 11 работ до/после в портфолио. Опыт подтверждён 48 отзывами пациентов, из которых 48 положительные. Для уточнения дополнительной информации о специалисте или записи на прием можно позвонить по телефону
+7 (499)Показать телефон
.

Где принимает:

Опыт 19 лет
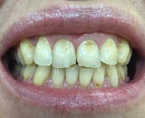
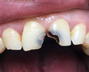
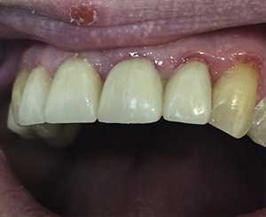
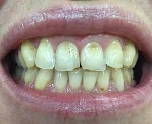
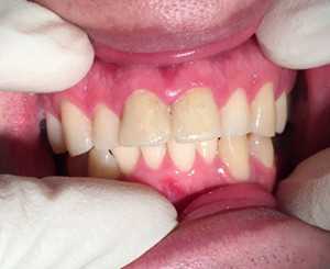
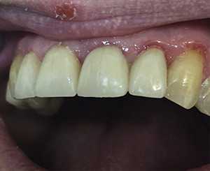
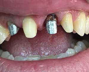
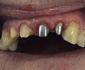
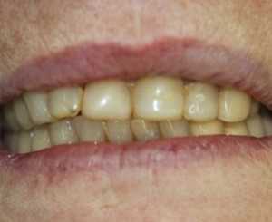
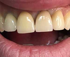
11 работ в портфолио

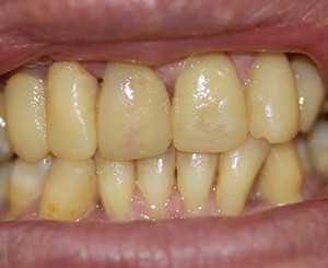
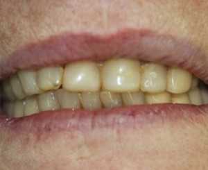
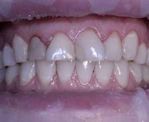
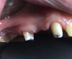
Мусаев Султан Мусаевич: портфолио (11)

Отзывы о враче Мусаев Султан Мусаевич

Рейтинг: 5
Отзывов: 48
Положительных: 48
Отрицательных: 0
Последний: 3039 дн. назад
5.0
Почему нашим отзывам можно доверять?
16 января 2018 г.
1 2 3 4 5
Вот смотрела я на одну всем нам известную певицу,у которой много лет была щель между двумя передними зубами,и не понимала,что же за волшебник ее так замаскировал. А оказалось все очень просто. Пришла в клинику на консультацию к Мусаеву С.М. Доктор мне и рассказал новый способ исправления таких проблем. Я очень довольна. От щели между зубами и следа не осталось. Очень красиво. Спасибо Султану Мусаевичу.
VivaDent
26 марта 2018 г.
Ольга, спасибо за ваш отзыв! Всегда рады помочь.
14 января 2018 г.
1 2 3 4 5
Здоровые и ровные зубы-этим я всегда могла похвалиться. Но с возрастом зубы начали менять свой цвет-не в лучшую сторону. Хотя я регулярно за ними слежу и всегда посещаю клинику ВиваДент. На очередном осмотре,я решила получить консультацию по отбеливанию зубов. Доктор Мусаев предложил мне установить виниры. Как раз еше и по акции. Я согласилась. Доктор-супер. Улыбка шикарна. Спасибо Султан Мусаевич.
VivaDent
26 марта 2018 г.
Анастасия, спасибо за ваш отзыв! Всегда рады помочь. Здоровой и красивой улыбки вам!
9 января 2018 г.
1 2 3 4 5
У Мусаева С.М. проходила процедуру протезирования нейлоновыми протезами. Все прошло просто замечательно. Подошловсе с первого раза,без вских дополнительных процедур.Плюс ко всему мне посщасливилось сделать себе зубы-по акции. Вообщем и дешево и красиво.А главное что прошло время,а я все еще радуюсь и каждый день говорю спасибо Султану Мусаевичу за его труд.
VivaDent
25 марта 2018 г.
Екатерина, спасибо за ваш отзыв! Всегда рады помочь.
5 января 2018 г.
1 2 3 4 5
Побольше бы таких специалистов, которые могут делать людей красивее и счастливее. Вот мне повезло, так как я столкнулся с прекрасным врачем Мусаевым С.М. Султан Мусаевич дал мне возможность наслаждаться любимымы блюдами, после процесса протезирования. На самом деле, уже много времени приходилость есть только мягкую или жидкую пищу. А теперь не думаю об этом. Ем все что хочу. И радуюсь этому. Спсибо!
VivaDent
25 марта 2018 г.
Николай, спасибо за ваш отзыв. Рады были вам помочь! Красивой, здоровой улыбки вам и вкусной еды!
31 декабря 2017 г.
1 2 3 4 5
Обратилась в клинику с нестерпимой болью. Консультировал меня Мусаев С.М. Оказывается у меня была обнаружена киста в корне зуба. Почему она появилась-не понятно,но боль была просто нестерпимая. Операцию мне проводил Султан Мусаевич. Боялась я очень сильно,но дискомфорта не испытала почти никокого. Спасибо!
25 декабря 2017 г.
1 2 3 4 5
Хочется похвалить клинику. Все сотрудники очень вежлевые, внимательные, профессиональные. В клинике все стерильно,что на мой взляд очень важно. Я сама проходила процедуру установки виниров у Мусаева С.М. Очень довольна его работой. Все на высшем уровне. Довольна и клиникой и доктором. Спасибо за то, что Вы стараетесь!
21 декабря 2017 г.
1 2 3 4 5
Для протезирования была необходима процедура удаления зуба. По рекомендации записалась на консультацию к Мусаеву С.М. И удалением и протезированием занимался Султан Мусаевич. Осталась очень довольна этим доктором.Все очень профессионально и самое главное-безболезнено. Мой новый рот-шедевр какой то. Спасибо!
17 декабря 2017 г.
1 2 3 4 5
Записалась на консультацию по вопросу имплантологии к Мусаеву С.М. Изначально привлекла акция на услуги имплантологии и гарантия на имплонтанты. Уже на консультации, пообщавшись с Султаном Мусаевичем мной было принято решение,делать эту процедуру только у этого врача.Все четко,доступно и очень понятно мне было донесено,а потом и сам процесс имплантации прошел на высшем уровне. Спасибо!
11 декабря 2017 г.
1 2 3 4 5
Мусаев С.М. - это специалист высокого уровня, любит свое дело, приятный в общении человек. Цена полностью оправдывает себя.Каждую свою работу он выполняет без боли , внимательно и аккуратно. О другой клинике теперь даже не задумываюсь, пойду только к Вам! Так же не могу не сказать про других работников клиники. Чуткие, внимательные, очень милые. Советую всем без исключения.
6 декабря 2017 г.
1 2 3 4 5
Если кто-то ищет хорошего стоматолога, то я могу посоветовать только Мусаева С.М. Сам у него уже довольно долго лечусь, ни разу не возникало жалоб или недовольства. Это врач, который сначала выслушает пациента, потом проведет осмотр, объяснит, какие есть проблемы и что нужно делать в первую очередь, предложит варианты и после прекрасно и безболезненно сделает свою работу. Всем советую.
    Помогите другим сделать правильный выбор — оставьте свой отзыв о докторе
    Написать отзыв

    Услуги стоматолога в других клиниках

    Протезирование зубов
    Установка коронки на зуб от 4 500 ₽ до 120 000 ₽
    Виды протезов
    Еще услуги