Стоматолог Арзуманян Гарик Арамаисович — цены, отзывы, стаж — Принимает в Москве

Арзуманян Гарик Арамаисович

Арзуманян Гарик Арамаисович - фотография
стоматолог-ортопед
Стаж 16 лет
Арзуманян Гарик Арамаисович принимает в «Стоматологическая клиника АЛЬТАМЕД ДЕНТ» в Москве. Стаж 16 лет. Специализируется на ортопедии, по которой клиника оказывает 18 услуг. Имеет 6 работ до/после в портфолио. Квалификация специалиста подтверждена 7 лицензиями, сертификатами и наградами. Также 32top представляет форму онлайн расписания, через которую можно записаться к специалисту на свободную дату и время.

Где принимает:

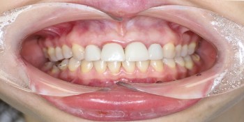
6 работ в портфолио
7 сертификатов
Опыт 16 лет
    Помогите другим сделать правильный выбор — оставьте свой отзыв о докторе
    Написать отзыв

    Арзуманян Гарик Арамаисович: портфолио (6)

    Услуги стоматолога в других клиниках

    Протезирование зубов
    Установка коронки на зуб от 4 500 ₽ до 120 000 ₽
    Установка протеза Акри Фри (Acry-Free) от 11 400 ₽ до 84 750 ₽
    Еще услуги