Стоматолог Самбуев Баир Сергеевич — цены, отзывы, стаж — Принимает в Москве

Самбуев Баир Сергеевич

Самбуев Баир Сергеевич - фотография
стоматолог-ортопед
Стаж 15 лет
Самбуев Баир Сергеевич принимает в «Стоматология инновационных технологий СМАЙЛ-АТ-УАНС» в Москве. Стаж 15 лет. Специализируется на ортопедии, по которой клиника оказывает 16 услуг. Имеет 33 работы до/после в портфолио. Квалификация специалиста подтверждена 12 лицензиями, сертификатами и наградами. Для уточнения дополнительной информации о специалисте или записи на прием можно позвонить по телефону
+7 (800)Показать телефон
.

Где принимает:

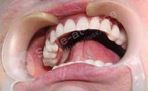
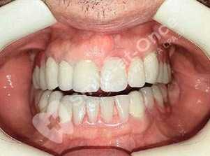
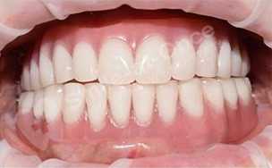
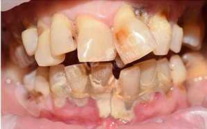
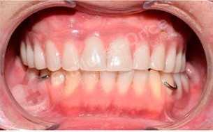
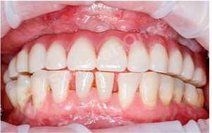
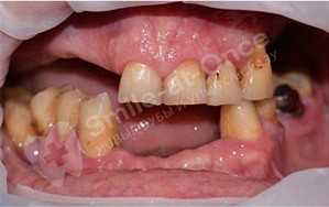
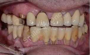
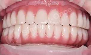
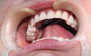
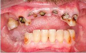
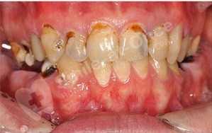
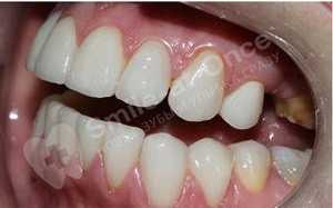
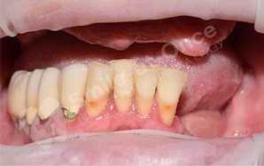
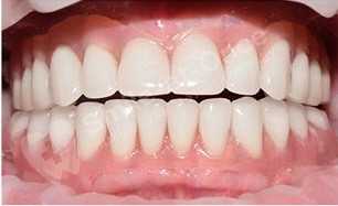
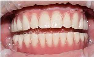
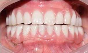
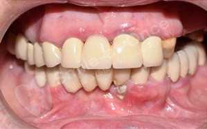
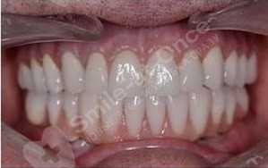
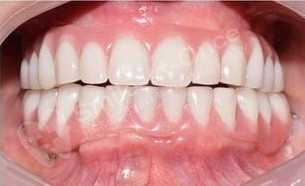
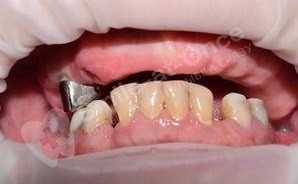
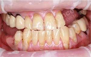
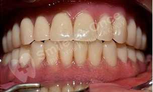
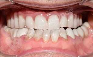
33 работы в портфолио
12 сертификатов
Опыт 15 лет

Отзывы о враче Самбуев Баир Сергеевич

Почему нашим отзывам можно доверять?
10 июля 2020 г.
1 2 3 4 5
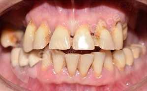
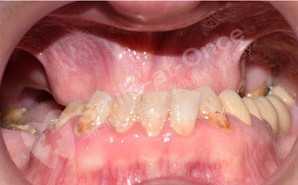
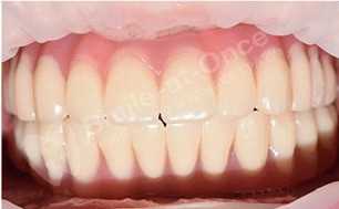
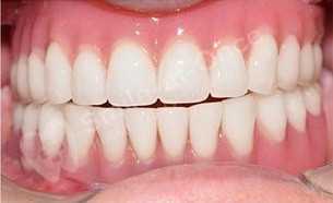
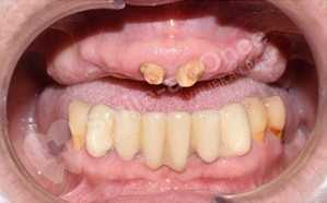
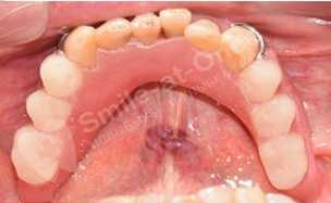
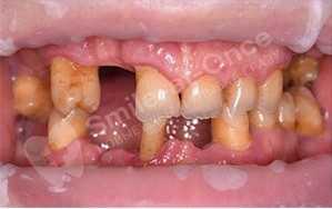
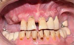
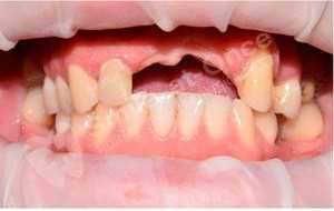
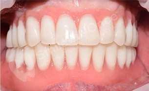
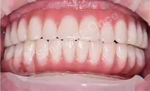
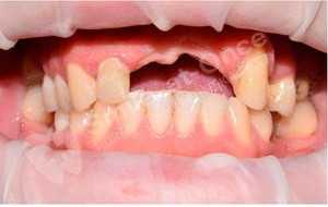
Я обратилась в клинику в октябре 2019 года, когда была в полном отчаянии от возрастной потери жевательных зубов с обеих сторон. Я думала, что меня ждёт печальная перспектива немолодых людей - ношение съёмных протезов, преимущественно жидкая пища, проблемы с ЖКТ и смех "в кулачок". Но в "Smile-at-once" мне подарили надежду и уверенность в том, что зубы (хоть и не волосы) могут "вырасти" снова. Клинику мы выбрали, тщательно изучив все возможные отзывы в интернете, и, честно, немного волновались. Но все сомнения улетучились почти сразу: очень доброжелательные администраторы на ресепшен, беседа с индивидуальным менеджером (у меня - замечательная Оксана Николаевна) и примерный расклад по времени, перспективам и цене лечения. Очень спокойно, доброжелательно, без какого-либо давления или саморекламы! Если бы мне что-то не подошло или не понравилось, я могла бы просто уйти. Но не ушла! И попала в руки замечательных докторов-профессионалов: хирург-имплантолог - Жиленко Евгений Николаевич (до сих пор удивляюсь, как он сумел справиться со всеми жуткими проблемами моих оставшихся зубов и дёсен), ортопеды - Самбуев Баир Сергеевич (он ставил адаптационные протезы) и Станислав Владимирович Чорный (он поразил меня своей тщательной, выверенной, утончённой работой с протезированием и с моим ужасным прикусом). Врачи-профессионалы с достаточным опытом работы, имеющие авторитетные сертификаты и прошедшие специальную подготовку - первое и главное достоинство клиники! А ещё: 1. Первоначальная диагностика и анализы 2. Снимки КТ и установка имплантатов в соответствии с ними. 3. Возможность поставить оригинальные имплантаты Nobel Biocare (один из лучших и надежных брендов в современных технологиях, на каждый из них выдают сертификаты). 4. Долговременное сервисное обслуживание (возможность необходимого ремонта или даже замены имплантата или протеза) и гарантии самой клиники. Всё это для меня очень важно в нашей такой беспокойной и непостоянной жизни. И да! Это недёшево... Но жизнь, её качество, молодость и красота (подтверждаю: это дополнительный бонус имплантации, особенно с биологически правильно восстановленным прикусом) дороже!
    Помогите другим сделать правильный выбор — оставьте свой отзыв о докторе
    Написать отзыв

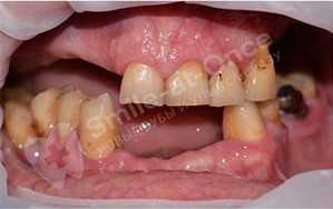
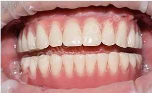
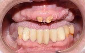
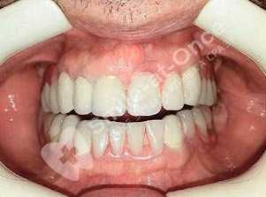
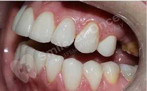
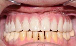
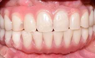
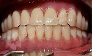
    Самбуев Баир Сергеевич: портфолио (33)

    Услуги стоматолога в других клиниках

    Протезирование зубов
    Установка коронки на зуб от 4 500 ₽ до 120 000 ₽
    Установка коронки на зуб от 4 500 ₽ до 120 000 ₽
    Еще услуги