Стоматолог Чекунков Максим Владимирович — цены, отзывы, стаж — Принимает в Москве

Чекунков Максим Владимирович

Чекунков Максим Владимирович - фотография
стоматолог-терапевт
стоматолог-ортопед
стоматолог-хирург
Стаж 25 лет
Чекунков Максим Владимирович принимает в «СТОМАТОЛОГИЯ ДОКТОРА ЧЕКУНКОВА» в Москве. Стаж 25 лет. Специализируется на терапии, ортопедии и хирургии, по которым клиника оказывает 10 услуг. Имеет 3 работы до/после в портфолио. Для уточнения дополнительной информации о специалисте или записи на прием можно позвонить по телефону
+7 (916)Показать телефон
.

Где принимает:

Опыт 25 лет
3 работы в портфолио
    Помогите другим сделать правильный выбор — оставьте свой отзыв о докторе
    Написать отзыв

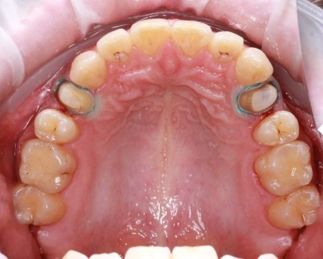
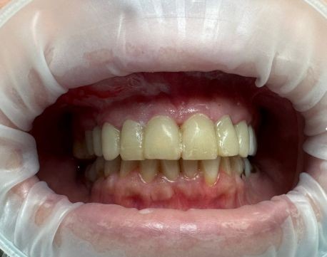
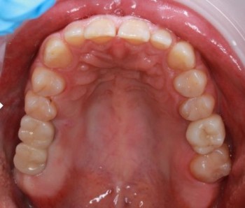
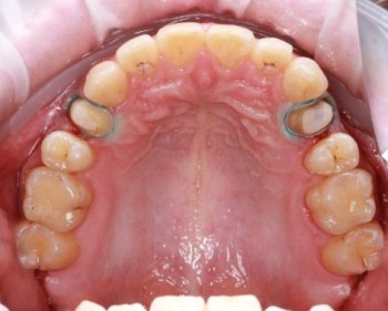
    Чекунков Максим Владимирович: портфолио (3)

    Услуги стоматолога в других клиниках

    Терапевтическая стоматология
    Лечение кариеса от 3 500 ₽ до 14 500 ₽
    Лечение пульпита от 5 000 ₽ до 35 000 ₽
    Еще услуги
    Хирургическая стоматология
    Удаление зубов от 1 150 ₽ до 25 000 ₽
    Удаление кисты и гранулемы зуба от 600 ₽ до 48 500 ₽
    Еще услуги
    Протезирование зубов
    Установка коронки на зуб от 4 500 ₽ до 120 000 ₽
    Установка протеза Акри Фри (Acry-Free) от 11 400 ₽ до 84 750 ₽
    Еще услуги