Стоматолог Геворкян Нелли Рубеновна — цены, отзывы, стаж — Принимает в Москве

Геворкян Нелли Рубеновна

Геворкян Нелли Рубеновна - фотография

5.0
Рейтинг: 5.0
Отзывов: 5
Положительных: 5
Отрицательных: 0
Последний : 2749 дн. назад
5 отзывов
стоматолог-терапевт
детский стоматолог
Стаж 28 лет
Геворкян Нелли Рубеновна принимает в «Семейная стоматология ИНТЕРДЕНТ» в Москве. Стаж 28 лет. Специализируется на терапии и детской стоматологии, по которым клиника оказывает 25 услуг. Имеет 5 работ до/после в портфолио. Для уточнения дополнительной информации о специалисте или записи на прием можно позвонить по телефону
+7 (499)Показать телефон
.

Где принимает:

Опыт 28 лет
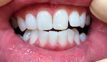
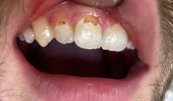
5 работ в портфолио

Геворкян Нелли Рубеновна: портфолио (5)

Отзывы о враче Геворкян Нелли Рубеновна

Рейтинг: 5
Отзывов: 5
Положительных: 5
Отрицательных: 0
Последний: 2749 дн. назад
5.0
Почему нашим отзывам можно доверять?
3 ноября 2018 г.
1 2 3 4 5
Нелли Рубиковна, доктор от Бога!!! Чудо – доктор! Спасибо! Буду рекомендовать всем друзьям и знакомым.
Елена
6 ноября 2018 г.
Здравствуйте, уважаемая Елена Олеговна! Большое спасибо за Ваше внимание и столь высокую оценку профессиональных качеств нашего доктора. Мы обязательно передадим Нелли Рубиковне персональную благодарность. Желаем Вам здоровья и благополучия!
11 октября 2018 г.
1 2 3 4 5
Нелли Рубеновна Геворкян замечательный врач, внимательный, высококвалифицированный, советую всем! Спасибо доктор!
9 августа 2017 г.
1 2 3 4 5
Мои детки –два сына и две дочки, любят ходить лечить зубки у Нелли Геворкян. Она найдет индивидуальный подход к маленьким пациентам и в игровой форме пролечит зубки. Да и вообще если честно очень добрый и позитивный человек. Наша зубная волшебница тетя НЕЛЛЯ самая добрая и красивая и лечит зубы не больно!
15 апреля 2017 г.
1 2 3 4 5
Спасибо большое за внимательность и профессионализм. Приходили с дочкой 7 лет. Три раза лечили зубы и один раз удаляли. Ребёнок доволен посещением и без страха приходит в клинику. Отдельное спасибо доктору Геворкян Н.Р. - дочка просит ходить только к ней! Рекомендовали эту замечательную клинику всем своим друзьям и знакомым.
12 марта 2017 г.
1 2 3 4 5
Лечил внуков у доктора Нелли Рубеновны. Думал, будет как всегда - крик слезы, протесты. Но доктор сделала все профессионально, быстро и с улыбкой. Благодаря ей сейчас мои внуки вовсе не боятся лечить зубы. Побольше бы таких профессиональных врачей. Ещё раз спасибо!
    Помогите другим сделать правильный выбор — оставьте свой отзыв о докторе
    Написать отзыв

    Услуги стоматолога в других клиниках

    Терапевтическая стоматология
    Лечение кариеса от 3 500 ₽ до 14 500 ₽
    Лечение пульпита от 5 000 ₽ до 35 000 ₽
    Еще услуги
    Детская стоматология
    Лечение молочных зубов от 500 ₽ до 10 000 ₽
    Удаление зубов у детей от 500 ₽ до 8 000 ₽
    Еще услуги