Стоматолог Костоева Дана Руслановна — цены, отзывы, стаж — Принимает в Москве

Костоева Дана Руслановна

Костоева Дана Руслановна - фотография

5.0
Рейтинг: 5.0
Отзывов: 24
Положительных: 24
Отрицательных: 0
Последний : 455 дн. назад
24 отзыва
стоматолог-ортодонт
детский стоматолог
гнатолог
Стаж 23 года
врач высшей категории, главный врач
Костоева Дана Руслановна принимает в «Медико-стоматологическая клиника ШИФА» в Москве. Главный врач, врач высшей категории, стаж 23 года. Специализируется на ортодонтии, детской стоматологии и гнатологии, по которым клиника оказывает 33 услуги. Имеет 6 работ до/после в портфолио. Опыт подтверждён 24 отзывами пациентов, из которых 24 положительные. Для уточнения дополнительной информации о специалисте или записи на прием можно позвонить по телефону
+7 (495)Показать телефон
. Занимает 17 место в рейтинге гнатологов 32top в вашем городе.

Где принимает:

Главный врач
6 работ в портфолио
Врач высшей категории
1 сертификат
Опыт 23 года

Награды врача

Топ-30 по итогам Народного рейтинга 2024

Стоматологические ассоциации

  • Член профессионального общества ортодонтов России

О стоматологе

Воспитываю прекрасную дочь – студентку медицинского университета и будущего врача в третьем поколении. Не могу жить без медицины и особенно без стоматологии! Люблю кино и музыку различных жанров и направлений. Испытываю особую слабость к автомобилям марки «Мерседес Бенц», обожаю экстремальные путешествия и интересных людей с непростой судьбой.

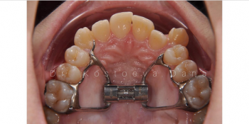
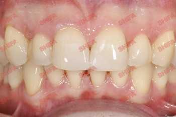
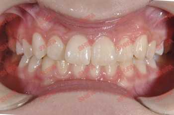
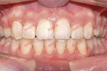
Костоева Дана Руслановна: портфолио (6)

Отзывы о враче Костоева Дана Руслановна

Рейтинг: 5
Отзывов: 24
Положительных: 24
Отрицательных: 0
Последний: 455 дн. назад
5.0
Почему нашим отзывам можно доверять?
6 февраля 2025 г.
1 2 3 4 5
Спасибо врачу за лечение, которое дает положительные результаты, щель между зубами становится меньше, ношу брекеты. Дана Руслановна все время на связи, регулярно посещаю ее для коррекции системы. Компетентная, современная и добрая.
10 января 2025 г.
1 2 3 4 5
Три недели назад Дана Руслановна сняла мне брекеты, установила ретейнеры, благодаря лечению добились результата-выровняли нижний зубной ряд. Очень грамотный ортодонт, современный взгляд на новые методы лечения, которые применяет в своей практике.
8 декабря 2024 г.
1 2 3 4 5
Врач компетентный и грамотный, у нее на лечении мой сын подросток, нашла с ним общий язык, он уже без меня даже ездит к ней на ежемесячные приемы. Все по делу, зубной ряд уже немного выровнялся, спасибо врачу.
18 октября 2024 г.
1 2 3 4 5
Прохожу лечение на брекет системе у Костоевой Даны Руслановны. Замечательный врач, тактичная, ответственная, приемы проходят информативно и легко. Поддерживает на протяжении всего лечения, дает рекомендации по уходу, разъяснила всю последовательность действий. Рекомендую клинику и врача.
26 сентября 2024 г.
1 2 3 4 5
Благодарю доктора Костоеву Дану Руслановну за терпение и мое лечение на брекет-системе . Отличная и ровная улыбка -мой итоговый результат . Рекомендую данную клинику однозначно !
10 августа 2024 г.
1 2 3 4 5
Была на консультации у Даны Руслановны Костоевой, очень специалист понравилась.Она приняла меня на приеме с улыбкой,начала расспрашивать о причине моего визита. Была видна заинтересованность доктора, я рассказала, о том, что хочу начать лечение по выравниванию зубов и доктор меня осмотрела. Она с полуслова поняла что мне надо, и после осмотра дала рекомендации. Сначала доктор рекомендовала, пройти лечение всех зубов и процедуру проф.гигиену, для того, чтобы к установке брекетов, ротовая полость была полностью готова, потом уже начнем процесс подбора системы. Я удовлетворена приемом, мне доктор Дана Руслановна очень понравилась, заинтересованная, современная, останусь у нее лечится.
16 июля 2024 г.
1 2 3 4 5
Отличный ортодонт, внимательная и вежливая. Прохожу у нее лечение на брекет-сисиеме уже более полугода. На плановых приемах все контролирует, объясняет, показывает изменения мне. Хороший врач, рекомендую ее другим.
3 мая 2024 г.
1 2 3 4 5
Получил хорошую консультацию по исправлению прикуса у доктора Костоевой Даны Руслановны, приятный, вежливый врач, которая внимательно выслушала, провела осмотр и диагностику, а дальше, рассказала мои дальнейшие действия, что бы начать лечение брекетами. Хороший специалист в своей области.
6 января 2024 г.
1 2 3 4 5
Дана Руслановна, прекрасный доктор, отзывчивая и опытная, она разбирается в проблемах зубочелюстных аномалий, и именно благодаря ее советам и лечению, мой зубной ряд стал более ровным, улыбаться теперь не стесняюсь. Даже по речи стало заметно, что сейчас, все как надо. Понравилось, как врач общается на приемах, вежливо, и объясняет все свои действия. Спасибо большое.
4 ноября 2023 г.
1 2 3 4 5
Два месяца назад у Даны Руслановны начала лечение, она мне установила набор соморегулирующих металических брекетов, что понравилось так это то, что перед началом процесса врач сделала компьютерную томографию, что позволило действовать более точно в дальнейшем. Врач компетентная и вежливая, тактичная и готовая придти на помощь в любой момент. Пока рано судить о результатах, но как специалист, она меня полностью устраивает.
    Помогите другим сделать правильный выбор — оставьте свой отзыв о докторе
    Написать отзыв

    Услуги стоматолога в других клиниках

    Ортодонтия
    Установка брекетов от 10 000 ₽ до 400 000 ₽
    Снятие брекетов от 530 ₽ до 42 000 ₽
    Еще услуги
    Детская стоматология
    Лечение молочных зубов от 500 ₽ до 10 000 ₽
    Удаление зубов у детей от 500 ₽ до 8 000 ₽
    Еще услуги