Стоматолог Шахулина (Макарова) Анастасия Владимировна — цены, отзывы, стаж — Принимает в Москве

Шахулина (Макарова) Анастасия Владимировна

Шахулина (Макарова) Анастасия Владимировна - фотография

5.0
Рейтинг: 5.0
Отзывов: 2
Положительных: 2
Отрицательных: 0
Последний : 687 дн. назад
2 отзыва
стоматолог-гигиенист
Стаж 15 лет
Шахулина (Макарова) Анастасия Владимировна принимает в «Стоматологический комплекс ПРЕЗИДЕНТ» в Москве. Стаж 15 лет. Специализируется на гигиене полости рта, по которой клиника оказывает 10 услуг. Имеет 2 работы до/после в портфолио. Квалификация специалиста подтверждена 12 лицензиями, сертификатами и наградами. Для уточнения дополнительной информации о специалисте или записи на прием можно позвонить по телефону
+7 (495)Показать телефон
.

Где принимает:

12 сертификатов
2 работы в портфолио
Опыт 15 лет

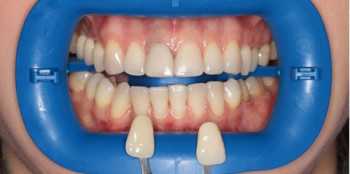
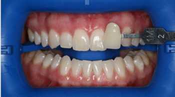
Шахулина (Макарова) Анастасия Владимировна: портфолио (2)

Отзывы о враче Шахулина (Макарова) Анастасия Владимировна

Рейтинг: 5
Отзывов: 2
Положительных: 2
Отрицательных: 0
Последний: 687 дн. назад
5.0
Почему нашим отзывам можно доверять?
5 июля 2024 г.
1 2 3 4 5
Был на чистки зубов у Анастасии Владимировны. Хороший и приятный человек, отлично выполнила процедуру, очень понравился результат. Буду еще приходить на чистку к ней.
Добрый день! Благодарим Вас за теплый отзыв! Мы очень рады, что Вы остались довольны результатом лечения в нашей клинике. Будем рады видеть Вас снова!С уважением, администрация стоматологии "ПрезиДЕНТ" на Сухаревской.
Здравствуйте! Спасибо за ваш тёплый отзыв! Рады, что Анастасия Владимировна смогла выполнить процедуру на высоком уровне и оставить приятные впечатления. Будем рады видеть вас снова на чистке! С уважением, администрация стоматологии "ПрезиДЕНТ" на Сухаревской.
24 апреля 2020 г.
1 2 3 4 5
В «лик-лидер» проходила лечение у Ахметовой Рины Рамильевны, был сложный случай, два очень проблемных зуба. Я боялась, что придется даже удалять. Но благодаря ей зубы удалось восстановить, сейчас они прекрасно себя чувствуют, в чем несомненная заслуга доктора). Искреннее спасибо Вам и долгих лет практики!
    Помогите другим сделать правильный выбор — оставьте свой отзыв о докторе
    Написать отзыв

    Услуги стоматолога в других клиниках

    Диагностика
    Консультация стоматолога от 1 ₽ до 3 500 ₽
    Консультация ортодонта от 1 ₽ до 5 200 ₽
    Еще услуги
    Эстетическая стоматология
    Виды отбеливания
    Отбеливание Zoom
    от 17 500 ₽ до 50 500 ₽
    Профгигиена
    Чистка зубов Air-flow от 1 450 ₽ до 12 800 ₽