Стоматолог Черных Василий Александрович — цены, отзывы, стаж — Принимает в Москве

Черных Василий Александрович

Черных Василий Александрович - фотография
стоматолог-ортопед
Стаж 9 лет
Черных Василий Александрович принимает в «Стоматологическая клиника МИРАДЕНТ» в Москве. К.м.н., стаж 9 лет. Специализируется на ортопедии, по которой клиника оказывает 7 услуг. Для уточнения дополнительной информации о специалисте или записи на прием можно позвонить по телефону
+7 (495)Показать телефон
.

Где принимает:

Кандидат мед.наук
1 работа в портфолио
Опыт 9 лет

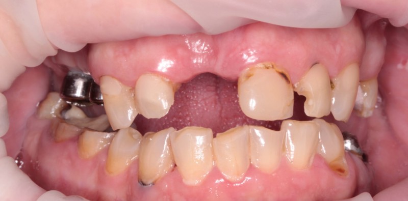
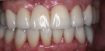
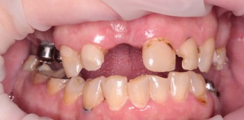
Черных Василий Александрович: портфолио (1)

    Помогите другим сделать правильный выбор — оставьте свой отзыв о докторе
    Написать отзыв

    Услуги стоматолога в других клиниках

    Протезирование зубов
    Установка коронки на зуб от 4 500 ₽ до 120 000 ₽
    Установка протеза Акри Фри (Acry-Free) от 11 400 ₽ до 85 000 ₽
    Еще услуги