Стоматолог Намдаков Николай Владимирович — цены, отзывы, стаж — Принимает в Москве

Намдаков Николай Владимирович

Намдаков Николай Владимирович - фотография

3.7
Рейтинг: 3.7
Отзывов: 3
Положительных: 2
Отрицательных: 1
Последний : 1617 дн. назад
3 отзыва
стоматолог-ортопед
стоматолог-хирург
стоматолог-имплантолог
Стаж 21 год
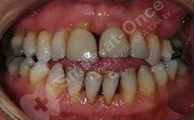
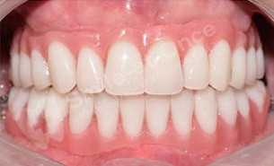
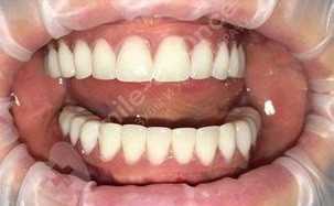
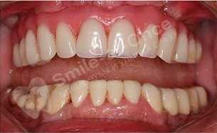
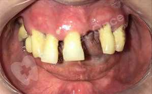
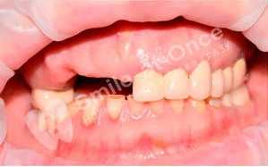
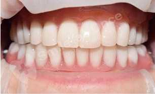
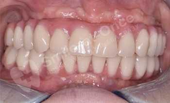
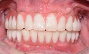
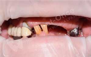
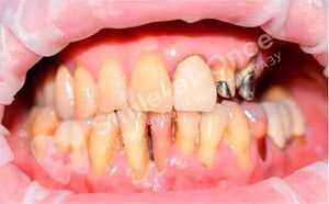
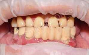
Намдаков Николай Владимирович принимает в «Стоматология инновационных технологий СМАЙЛ-АТ-УАНС» в Москве. Стаж 21 год. Специализируется на ортопедии, хирургии и имплантологии, по которым клиника оказывает 41 услугу. Имеет 29 работ до/после в портфолио. Квалификация специалиста подтверждена 32 лицензиями, сертификатами и наградами. Для уточнения дополнительной информации о специалисте или записи на прием можно позвонить по телефону
+7 (800)Показать телефон
.

Где принимает:

32 сертификата
Опыт 21 год
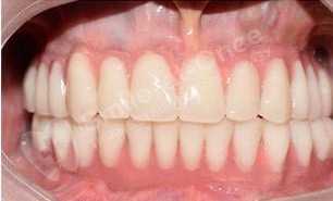
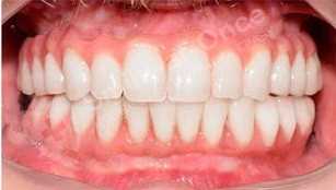
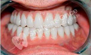
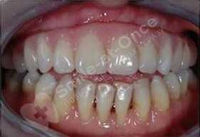
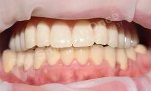
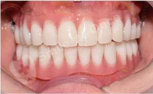
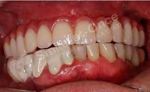
29 работ в портфолио

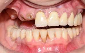
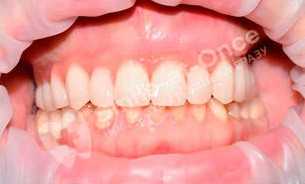
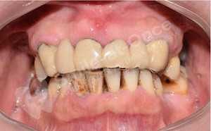
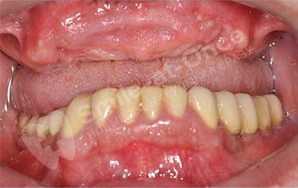
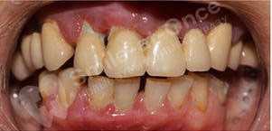
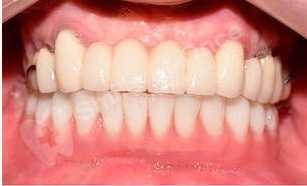
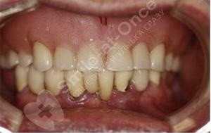
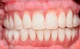
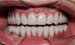
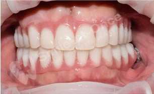
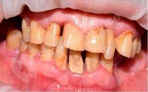
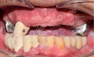
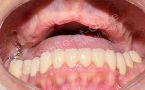
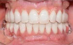
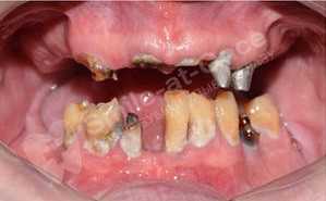
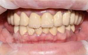
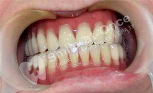
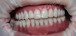
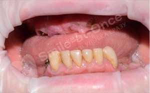
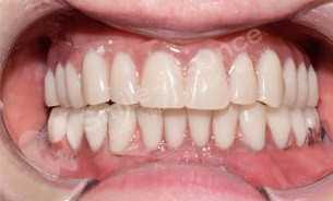
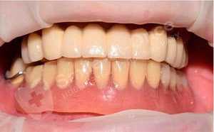
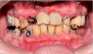
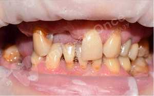
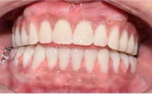
Намдаков Николай Владимирович: портфолио (29)

Отзывы о враче Намдаков Николай Владимирович

Рейтинг: 3.665
Отзывов: 3
Положительных: 2
Отрицательных: 1
Последний: 1617 дн. назад
3.7
Почему нашим отзывам можно доверять?
8 декабря 2021 г.
1 2 3 4 5
Ужасно, пазуха повреждена и лицевой нерв, асимметрия лица и хронический синусит, имплант извлечен, а проблемы остались. Врач снял с себя всю ответственность за свои действия.
29 ноября 2017 г.
1 2 3 4 5
С зубами практически всегда были проблемы. И вот пришло время, когда на нижней челюсти зубов почти не осталось. Я решил установить протез. Созвонился с клиникой по телефону, выслал фотографию – сказали, что можно приезжать протезироваться. Встретили очень внимательные администраторы. Врач Намдаков Николай Владимирович очень внимательно осмотрел, сказал, что имплантацию провести можно. Провели подготовку, через день я пришел, мне провели операцию. Прошла она успешно, боли не чувствовал вообще – все было профессионально. А через три дня пришел на первую примерку протеза. И еще через три дня мне поставили протез. Все было вовремя – на сайте вся заявленная информация соответствует действительности, что очень радует. Клинику рекомендую всем!
Анна
21 мая 2019 г.
Александр Николаевич, вам что, без всякой подготовки провели имплантацию?Сегодня пришли, а завтра уже провели?Так не делают, сдаются анализы, делают все исследования, готовят шаблоны и т.д и т.п.Минимум могли сделать через две недели.Вы бы не завирались.
Добрый день, Александр Николаевич! Спасибо большое за ваш отзыв и доверие к нашей клинике! Мы искренне рады, что смогли помочь вам решить столь важный вопрос и вернуть комфорт в вашу жизнь. Особенно приятно, что вы отметили внимательность наших администраторов и профессионализм врача. Мы действительно стараемся, чтобы каждый этап лечения был максимально комфортным и соответствовал ожиданиям наших пациентов. Отдельное спасибо за то, что вы обратили внимание на точность информации на нашем сайте и порекомендовали нашу клинику. Для нас это очень ценно, и мы благодарны вам за такие теплые слова. Желаем вам крепкого здоровья, уверенности и побольше поводов для искренней улыбки! С уважением, команда Smile-at-Once.
15 ноября 2017 г.
1 2 3 4 5
Операция и сам процесс вживления прошел немного болезненно, но хорошо. И через 2 месяца уже не было никаких болезненных ощущений – зубы чувствую нормально. Пока еще до конца не привык, но в целом ощущения очень приятные, комфортно, ем все и улыбаюсь. То, что было до того момента, как я сделал операцию – это не сравнить. Огромное спасибо всем врачам!
Благодарим за обратную связь. Рады, что Вы остались довольны результатом проделанной работы.  Улыбайтесь чаще и берегите себя. С уважением, команда Smile-at-Once.
    Помогите другим сделать правильный выбор — оставьте свой отзыв о докторе
    Написать отзыв

    Услуги стоматолога в других клиниках

    Хирургическая стоматология
    Удаление зубов от 1 150 ₽ до 25 000 ₽
    Удаление кисты и гранулемы зуба от 600 ₽ до 48 500 ₽
    Еще услуги
    Протезирование зубов
    Установка коронки на зуб от 4 500 ₽ до 120 000 ₽
    Виды протезов
    Еще услуги