Стоматолог Глазов Дмитрий Олегович — цены, отзывы, стаж — Принимает в Москве

Глазов Дмитрий Олегович

Глазов Дмитрий Олегович - фотография

5.0
Рейтинг: 5.0
Отзывов: 11
Положительных: 11
Отрицательных: 0
Последний : 133 дн. назад
11 отзывов
ТОП-40 в рейтинге
стоматолог-ортопед
стоматолог-хирург
Стаж 34 года
Глазов Дмитрий Олегович принимает в «Стоматологическая клиника доктора Глазова ПАРТНЕР» в Москве. К.м.н., стаж 34 года. Специализируется на ортопедии и хирургии, по которым клиника оказывает 22 услуги. Имеет 12 работ до/после в портфолио. Квалификация специалиста подтверждена 15 лицензиями, сертификатами и наградами, а опыт 11 отзывами пациентов, из которых 11 положительные. Для уточнения дополнительной информации о специалисте или записи на прием можно позвонить по телефону
+7 (495)Показать телефон
.

Где принимает:

15 сертификатов
Топ 40 в рейтинге
Кандидат мед.наук
12 работ в портфолио
Опыт 34 года

Стоматологические ассоциации

  • Вице президент Общества Врачей России (ОВР)

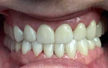
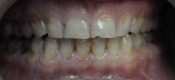
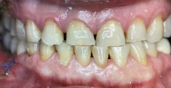
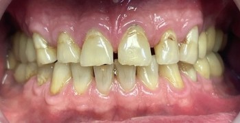
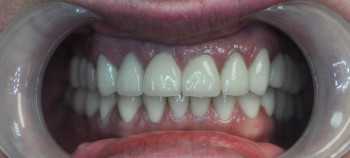
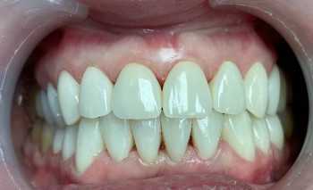
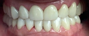
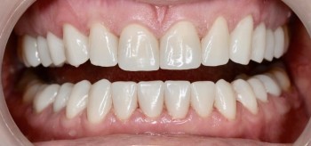
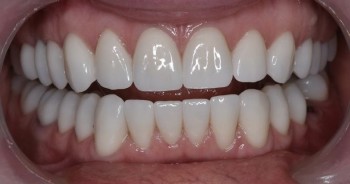
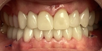
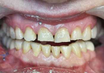
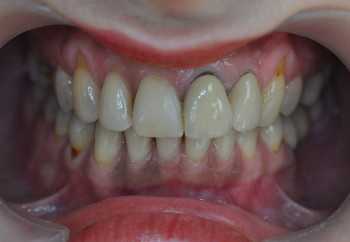
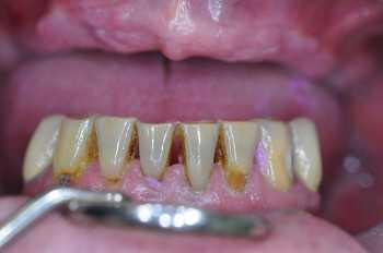
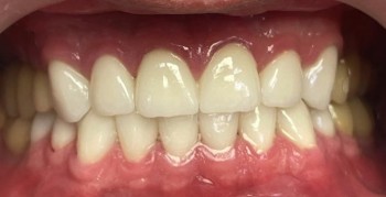
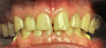
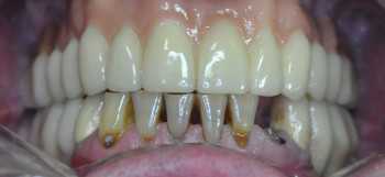
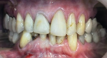
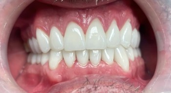
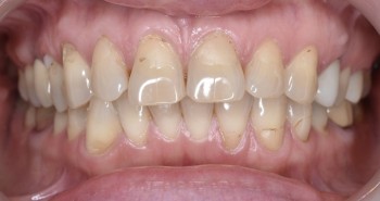
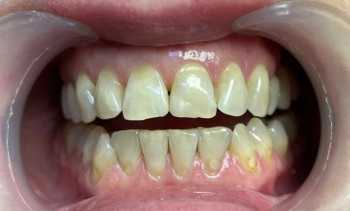
Глазов Дмитрий Олегович: портфолио (12)

Отзывы о враче Глазов Дмитрий Олегович

Рейтинг: 5
Отзывов: 11
Положительных: 11
Отрицательных: 0
Последний: 133 дн. назад
5.0
Почему нашим отзывам можно доверять?
После приема Пациент записывался в клинику через 32top. После приёма мы позвонили ему и получили отзыв.
25 декабря 2025 г.
1 2 3 4 5
Клинику нашла в интернете. Записалась на консультацию к Дмитрию Олеговичу. Консультацией довольна, врач очень внимательный и опытный, провел осмотр, сделал диагностику, рассказал, как будет проходить мое лечение, ответил на все мои вопросы, назвал стоимость. Буду принимать решение.
Благодарим Вас за посещение нашей стоматологии и приятный отзыв. Желаем здоровья! С уважением, стоматология "Клиника Партнер"
После приема Пациент записывался в клинику через 32top. После приёма мы позвонили ему и получили отзыв.
12 декабря 2025 г.
1 2 3 4 5
Был на консультации у врача Глазова Дмитрия. Доволен проведенной консультаций, врач опытный, внимательный, рассказал мне об этапах лечения, составил смету и план лечения. Меня все устроило, буду продолжать лечение. Клиника и оборудование современное, персонал отзывчивый, мне все понравилось.
Мы рады, что Вы остались довольны посещением нашей стоматологии и благодарим Вас за положительный отзыв. Будьте здоровы! С уважением, стоматология "Клиника Партнер"
После приема Пациент записывался в клинику через 32top. После приёма мы позвонили ему и получили отзыв.
18 июня 2023 г.
1 2 3 4 5
Посещаю эту клинику уже в течение 20 лет. Глазов Дмитрий - один из лучших протезистов России! Один из первых в нашей стране, кто вообще начал заниматься протезами, и мне посчастливилось стать одной из первых пациенток с имплантами в нашей стране. Как только клиника открылась 20 лет назад, я попала к ним на приём, с тех пор сотрудничаю только с ними. Мои импланты стоят со дня основания клиники, с ними до сих пор всё отлично! В клинике работают самые достойные люди России, а лечатся - самые известные. Клуб престижных людей премиум класса, я бы даже так сказала! Ни в какую другую стоматологию не пойду, только сюда!
После приема Пациент записывался в клинику через 32top. После приёма мы позвонили ему и получили отзыв.
10 ноября 2022 г.
1 2 3 4 5
Я пациент этой клиники много много лет, практически с основания. Я поставила несколько имплантов, они до сих пор стоят и никакого беспокойства не доставляют, служат как надо. Я первый имплант поставила лет 15 назад, потом больше и больше. Понравилось качество, профессионализм. Делал мне все Дмитрий Олегович. Конечно, у него были хирурги которые помогали во время операций поскольку было сложное удаление и киста. Я человек возрастной, были серьезные проблемы. Могу сказать, что в клинике индивидуальный подход к пациенту. Очень о многом говорит то, какие пациенты ходят в клинику, особенно врачи, которые могут оценить по достоинству коллегу.
После приема Пациент записывался в клинику через 32top. После приёма мы позвонили ему и получили отзыв.
23 марта 2022 г.
1 2 3 4 5
Клиника очень понравилась. Хороший коллектив, хорошее отношение к пациентам. Я боюсь зубы лечить, но врачи создали такую атмосферу при которой было нестрашно лечить зубы. Я лечение проходила непосредственно у Глазова Дмитрия. Очень понравился доктор, внимательный, супер доктор. Уже 2 года назад установила импланты и коронки. У меня было 5 зубов, был также синус лифтинг (было сложный случай). Лечение заняло примерно 3-4 месяца. В этом деле лучше не торопиться и все делать поэтапно. Доктора и клинику всем рекомендую!
После приема Пациент записывался в клинику через 32top. После приёма мы позвонили ему и получили отзыв.
13 февраля 2022 г.
1 2 3 4 5
Эта клиника, которой я полностью доверяю. Стопроцентное качество, отличное обслуживание, приветливый персонал. Для меня лучшая стоматология. Ответственные администраторы, идеальная чистота, современный дизайн. В работе используют только самые лучшие материалы. Моим лечением занимаются высококвалифицированные врачи Хлопова Анна и Глазов Дмитрий. Мне предстоит удаление кисты зуба и далее имплантация. Желаю клинике только процветания.
После приема Пациент записывался в клинику через 32top. После приёма мы позвонили ему и получили отзыв.
5 февраля 2022 г.
1 2 3 4 5
Пришла сюда по совету моих знакомых. Я обращалась в другие клиники, результат меня не устраивал. Обратилась к Глазову Дмитрию Олеговичу, после осмотра врач назначил мне обследование. После которого была установлена причина моих бед. Дмитрий Олегович произвел впечатление грамотного, уверенного в себе специалиста. Сразу прониклась доверием к нему. Назначил мне дату операции, все было очень четко и по времени. Затем назначены препараты для восстановления. Сейчас меня ничего не беспокоит. На мой взгляд, клинике не помешало бы побольше рекламы, если бы не мои знакомые, я сама не нашла Дмитрия Олеговича и мучилась бы со своей проблемой.
После приема Пациент записывался в клинику через 32top. После приёма мы позвонили ему и получили отзыв.
29 января 2022 г.
1 2 3 4 5
Я считаю эту клинику лучшей. Все продумано до мелочей. Стоматология клиентоориентировна. Девочки администраторы внимательные, всегда напоминают о приеме. В самой стоматологии современный, красивый интерьер, чувствуешь себя спокойно. Я прошла длительное лечение. Мне провели имплантацию и протезирование. Не было никаких проблем на всех этапах, все под контролем докторов. Мне повезло попасть к таким профессионалам Дмитрию Олеговичу и Анне Леонидовне. У этих докторов "золотые руки". И если лечить зубы то, только в эту клинику. Сама Стоматология проявляет заботу о пациентах и рассылает напоминания о необходимости посетить доктора.
После приема Пациент записывался в клинику через 32top. После приёма мы позвонили ему и получили отзыв.
24 января 2022 г.
1 2 3 4 5
У меня была серьезная проблема на верхней и нижней челюсти связанная с костной тканью, так еще требовалась замена мостов. Обратилась в стоматологию, специалистам которой я доверяла. В клинике очень комфортно находиться, доброжелательный коллектив. Каждое мое посещение длилось около четырех часов, мне проводили мини операции. На неделю давали список лекарств, постоянно звонили, интересовались самочувствием. Мое лечение длилось полгода. Все мои проблемы были решены замечательным врачом Глазовым Дмитрием, настоящим профессионалом. Огромная ему благодарность. После лечения, каждые два месяца приезжала в клинику на осмотр. После этого три года не нуждаюсь в лечении.
26 января 2013 г.
1 2 3 4 5
Очень хорошая клиника! Квалифицированные специалисты, приемлемые цены! Удаляла зуб у Дмитрия Олеговича Глазова. Быстро, качественно, безболезненно! За одно посещение проконсультировалась с несколькими докторами! Через пару месяцев пойду на имплантацию!
    Помогите другим сделать правильный выбор — оставьте свой отзыв о докторе
    Написать отзыв

    Услуги стоматолога в других клиниках

    Диагностика
    Консультация стоматолога от 1 ₽ до 3 500 ₽
    Консультация стоматолога-ортопеда от 1 ₽ до 5 000 ₽
    Еще услуги
    Хирургическая стоматология
    Удаление зубов от 1 150 ₽ до 25 000 ₽
    Удаление кисты и гранулемы зуба от 600 ₽ до 48 500 ₽
    Еще услуги
    Протезирование зубов
    Лечение адентии от 79 990 ₽ до 180 000 ₽
    Установка коронки на зуб от 4 500 ₽ до 120 000 ₽
    Еще услуги