Стоматолог Ясаков Сергей Александрович — цены, отзывы, стаж — Принимает в Москве

Ясаков Сергей Александрович

Ясаков Сергей Александрович - фотография
стоматолог-ортопед
Стаж 7 лет
Ясаков Сергей Александрович принимает в «Стоматологическая клиника АТРИ-ДЕНТ» в Москве. Стаж 7 лет. Специализируется на ортопедии, по которой клиника оказывает 9 услуг. Имеет 2 работы до/после в портфолио. Также 32top представляет форму онлайн расписания, через которую можно записаться к специалисту на свободную дату и время.

Где принимает:

Опыт 7 лет
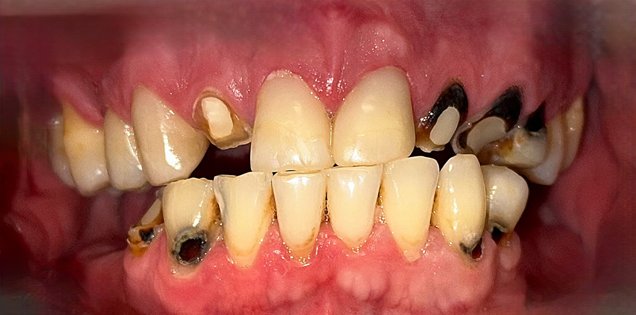
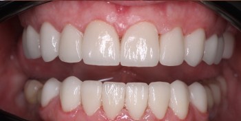
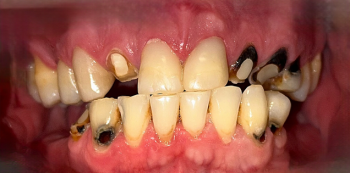
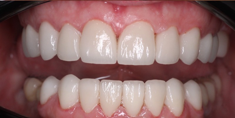
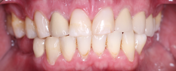
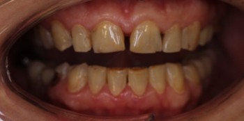
2 работы в портфолио

Ясаков Сергей Александрович: портфолио (2)

Отзывы о враче Ясаков Сергей Александрович

Почему нашим отзывам можно доверять?
19 февраля 2026 г.
1 2 3 4 5
Делал протезирование у Ясакова Сергея Александровича. Очень понравилось, что он сразу сказал, чего ожидать и где могут быть нюансы. Без обещаний «идеала за день». Итог -конструкция сидит комфортно, не мешает, не натирает. Через пару дней вообще перестал её ощущать. Это, думаю, лучший комплимент.
Здравствуйте! Благодарим вас за оставленный отзыв. Мы очень рады, что вы остались довольны результатом протезирования у нашего врача Ясакова Сергея Александровича. Мы стремимся предоставлять пациентам качественную медицинскую помощь и максимально комфортные условия лечения. Важно, чтобы пациенты понимали все аспекты процедуры и не сталкивались с неоправданными ожиданиями. Сергей Александрович всегда старается объяснить все нюансы и тонкости работы. Ваше замечание о том, что врач предупредил вас о возможных моментах и не давал обещаний «идеала за день», очень ценно для нас. Спасибо, что поделились своими впечатлениями. Мы будем рады видеть вас снова в нашей стоматологии. С уважением, команда стоматологии Атри Дент
18 ноября 2025 г.
1 2 3 4 5
После долгих сомнений решился на протезирование. Доктор Ясаков оказался невероятно внимательным, объяснил все нюансы -что по срокам, что по материалам. Подобрали вариант, который устроил и по цене, и по эстетике. Результат просто поразил -зубы как родные, прикус идеальный. Благодарю
Здравствуйте! Благодарим вас за столь тёплые слова и положительный отзыв о нашей работе. Мы очень рады, что доктор Ясаков смог помочь вам и вы остались довольны результатом. Наша цель — сделать всё возможное, чтобы наши пациенты чувствовали себя уверенно и комфортно. Спасибо, что выбрали нашу стоматологию. Мы будем рады видеть вас снова!
    Помогите другим сделать правильный выбор — оставьте свой отзыв о докторе
    Написать отзыв

    Услуги стоматолога в других клиниках

    Протезирование зубов
    Лечение адентии от 79 990 ₽ до 180 000 ₽
    Установка коронки на зуб от 4 500 ₽ до 120 000 ₽
    Еще услуги