Стоматолог Сидоров Дмитрий Алексеевич — цены, отзывы, стаж — Принимает в Москве

Сидоров Дмитрий Алексеевич

Сидоров Дмитрий Алексеевич - фотография

5.0
Рейтинг: 5.0
Отзывов: 40
Положительных: 40
Отрицательных: 0
Последний : 1120 дн. назад
40 отзывов
стоматолог-ортопед
стоматолог-имплантолог
Стаж 24 года
врач высшей категории
Сидоров Дмитрий Алексеевич принимает в «Центр стоматологии и биоинженерии КБ» в Москве. Врач высшей категории, стаж 24 года. Специализируется на ортопедии и имплантологии, по которым клиника оказывает 21 услугу. Имеет 19 работ до/после в портфолио. Квалификация специалиста подтверждена 21 лицензиями, сертификатами и наградами, а опыт 40 отзывами пациентов, из которых 40 положительные. Для уточнения дополнительной информации о специалисте или записи на прием можно позвонить по телефону
+7 (499)Показать телефон
.

Где принимает:

Опыт 24 года
Врач высшей категории
21 сертификат
19 работ в портфолио

Отзывы о враче Сидоров Дмитрий Алексеевич

Рейтинг: 5
Отзывов: 40
Положительных: 40
Отрицательных: 0
Последний: 1120 дн. назад
5.0
Почему нашим отзывам можно доверять?
23 марта 2023 г.
1 2 3 4 5
Хочу сказать слова огромной благодарности доктору Сидорову Дмитрию Алексеевичу, замечательному профессионалу, очень внимательному и доброжелательному человеку. У всех людей, особенно тех, кто обращается к стоматологам, есть свои специфические моменты, и, как правило, мы очень боимся обращаться к докторам этой специализации. Дмитрий Алексеевич обладает настолько глубокими знаниями в своей профессии, что уже после первого посещения доверие к этому доктору безгранично. Так же хочу поблагодарить весь персонал этого Центра за внимательность и профессионализм своего дела.Находясь в Центре стоматологии и биоинженерии КБ знаешь, что все твои стоматологические проблемы будут решены. Всем здоровья, дальнейшего развития и успехов! С уважением, Трусова Лариса Юрьевна
9 апреля 2022 г.
1 2 3 4 5
Добрый день! От всей души хочу поблагодарить доктора-ортопеда Сидорова Дмитрия Алексеевича! Это просто шикарный доктор! В клинике,, Конструкторское бюро "мне были установлены импланты на обеих челюстях по методике,, All-on-4"и,,All-on-6 ". На ортопедическом этапе Дмитрий Алексеевич занимался комплексной установкой протезов-вначале временных (материал-акрил), затем постоянных (материал - диоксид циркония). Во время работы врач максимально кропотлив, внимателен к каждой, даже самой маленькой детали, как ювелир точен в своих действиях и устремлен к идеальном результату. Как человек Дмитрий Алексеевич очень располагает к себе :чуток, добр, внимателен и уважителен по отношению к пациенту, слышит и понимает его. Поэтому неудивительно, что все мои приемы у доктора проходили легко, в очень приятной, позитивной обстановке. За сравнительно небольшой отрезок времени, благодаря мастерству Дмитрия Алексеевича, удавалось проходить достаточно большой объём работ (мне есть с чем сравнивать, имеется некоторый опыт). После окончания работ по протезированию прошло около 6 месяцев. Я очень довольна полученным результатом:качество и эстетика моих новых зубов на высшем уровне, внешне они выглядят очень натурально! И это стало возможным благодаря трудолюбию, огромному терпению, несомненному мастерству и таланту Дмитрия Алексеевича. Дмитрий Алексеевич, у Вас золотые руки! Спасибо Вам за прекрасную работу, за мою новую улыбку! Желаю Вам здоровья, всех благ и успехов в Вашем творческом деле! Вы несёте в этот Мир Красоту! А что может быть прекраснее?! С уважением, Елена Лушкина.
Добрый
15 мая 2022 г.
Спасибо большое Елена! Очень рад, что всё понравилось!!! Спасибо за отзыв! Мне тоже было очень приятно работать с Вами!
11 июня 2021 г.
1 2 3 4 5
Скололся верхний первый премоляр мёртвого зуба ниже десны, попал на первичную консультацию к Дмитрию Алексеевичу и не чуть не пожалел, т.к. Дмитрий Алексеевич с чуткостью и вниманием выслушал мою проблему, своим профессиональным взглядом проанализировал ситуацию с полуразрушенным зубом и предложил оптимальный вариант решения по цене-качеству - при этом подробно рассказав о этапах лечения, материалах которые будут использоваться для лечения с объяснением почему так, а не иначе. Запланирован I этап лечения на 27.06.21 по устранению недочёта в зубном ряду..)
5 мая 2021 г.
1 2 3 4 5
В 2012г Дмитрий Алексеевич установил мне коронки на имплантаты на фронтальные зубы. Прошло уже много лет, а результат его работы по-прежнему очень радует. Коронки выглядят очень эстетично и натурально. Установка прошла аккуратно и без боли. Доктор профессионал своего дела. Никакого дискомфорта и проблем за 9 лет, что стоят коронки, я не испытала. Спасибо! Однозначно рекомендую!
23 марта 2021 г.
1 2 3 4 5
Считаю Сидорова Дмитрия Алексеевича лучшим специалистом в своём деле. Ставила коронки в 2011 году, всем очень довольна. Спасибо за хорошее отношение к пациенту, порядочность и высокий профессионализм.
22 декабря 2020 г.
1 2 3 4 5
Прекрасный специалист. Начала протезирование у Дмитрия Алексеевича. Но в этой клинике уже не принимает. Ведь его работа итог всего. Мне жаль. Надеюсь у него все хорошо,. Теперь нужно искать другого специалиста. Я была уверена , что он сделает все идеально.
Smile-at-Once
21 февраля 2022 г.
Добрый день! Мы в любом случае будем рады оказать вам помощь, раз вы начали проходить лечение в нашей клинике. У нас много прекрасных стоматологов-ортопедов, педантичных и очень ответственных!
1 сентября 2017 г.
1 2 3 4 5
Моя мама, пожилой человек, попросила написать и похвалить стоматолога Сидорова Д.А. за хорошую работу!!! Хвалю, Вас, Дмитрий Алексеевич, мама довольна, аппетит хороший, жует себе еду с удовольствием, все благодаря хорошо подобранному и изготовленному протезу, что не потребовалось каких-либо корректировок.
29 августа 2017 г.
1 2 3 4 5
Стоматолог Сидоров Д.А. очень вежливый и достаточно профессиональный на мой взгляд. Доктор потратил дополнительное время, чтобы успокоить меня, ответить на мои вопросы по рентгеновским снимкам и подобрать материал для замены старой коронки. В результате я осталась совершенно довольна результатом! Взволнована, что все прошло гладко, коронка хорошо встала, Дмитрий Алексеевич, Вас благодарю за работу! Еще хочу отметить, что очень уютные и красивые стоматологические кабинеты в клинике Root (я была в филиале на пр. Волгоградский), хорошее оборудование и удобные кресла, сотрудники дружелюбные.
21 августа 2017 г.
1 2 3 4 5
Клиника Рутт многим нравится, здесь работают специалисты разного профиля, атмосфера приятная, все условия для пациентов созданы. Попала сюда во время беременности, зубы ослабели, стали шататься, один вообще выпал, в придачу десна ужасно кровоточили, думала буду спустя пару месяцев совсем беззубой. Врач после осмотра успокоил, поставил диагноз парадонтоз и назначил курс лечения, дал полезную инфу про зубы почитать. В клинике убрали зубной камень, а проблемы с деснами ликвидировал курс уколов. На место выпавшего зубы собираюсь делать коронку, на осень лечение планирую, договорилась уже, пойду к Сидорову.
10 августа 2017 г.
1 2 3 4 5
В протезирование нечего не понимаю, а надо приобрести край новые зубки. На приёме у Сидорова был предложен ряд протезирований. Остановились на мостовидных протезах. Протезы совершенно не мешают во рту, удобные и очень красивые. Подобраны к моим зубам один в один. Коллеги удивились такому хорошему протезированию и тоже записались на приём к Дмитрию Алексеевичу!!
    Помогите другим сделать правильный выбор — оставьте свой отзыв о докторе
    Написать отзыв

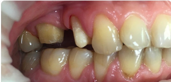
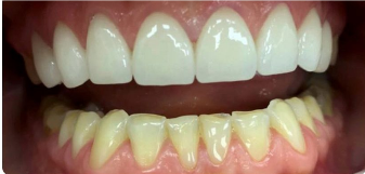
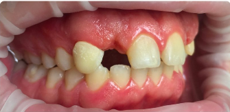
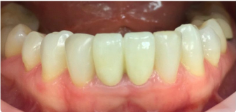
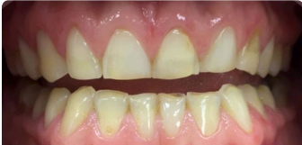
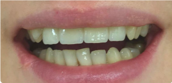
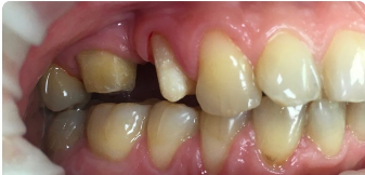
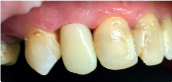
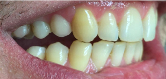
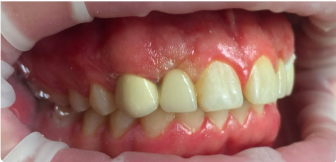
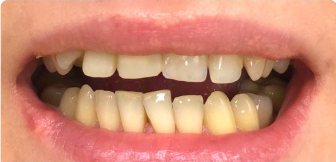
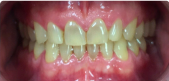
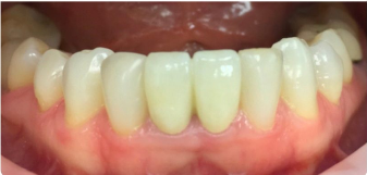
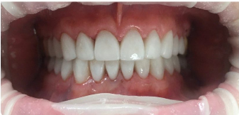
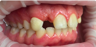
    Сидоров Дмитрий Алексеевич: портфолио (19)

    Услуги стоматолога в других клиниках

    Протезирование зубов
    Установка коронки на зуб от 4 500 ₽ до 120 000 ₽
    Установка протеза Акри Фри (Acry-Free) от 11 400 ₽ до 84 750 ₽
    Еще услуги
    Имплантация
    Установка мини-импланта от 3 000 ₽ до 35 000 ₽
    Коронки на имплантах от 11 000 ₽ до 90 000 ₽
    Еще услуги