Стоматолог Юнисов Марат Рифатович — цены, отзывы, стаж — Принимает в Москве

Юнисов Марат Рифатович

Юнисов Марат Рифатович - фотография
стоматолог-ортопед
гнатолог
Стаж 21 год
врач высшей категории
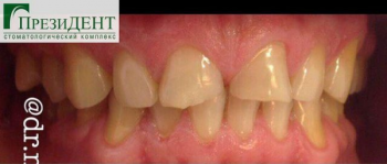
Юнисов Марат Рифатович принимает в «Стоматологический комплекс ЛЕГЕНДА» в Москве. Врач высшей категории, стаж 21 год. Специализируется на ортопедии и гнатологии, по которым клиника оказывает 20 услуг. Имеет 3 работы до/после в портфолио. Квалификация специалиста подтверждена 3 лицензиями, сертификатами и наградами. Для уточнения дополнительной информации о специалисте или записи на прием можно позвонить по телефону
+7 (495)Показать телефон
.

Где принимает:

Врач высшей категории
3 сертификата
3 работы в портфолио
Опыт 21 год

Юнисов Марат Рифатович: портфолио (3)

    Помогите другим сделать правильный выбор — оставьте свой отзыв о докторе
    Написать отзыв

    Услуги стоматолога в других клиниках

    Диагностика
    Консультация гнатолога от 1 ₽ до 10 000 ₽
    Протезирование зубов
    Установка коронки на зуб от 4 500 ₽ до 120 000 ₽
    Виды протезов
    Еще услуги