Стоматолог Вахтангадзе Реваз Амвросиевич — цены, отзывы, стаж — Принимает в Москве

Вахтангадзе Реваз Амвросиевич

Вахтангадзе Реваз Амвросиевич - фотография

5.0
Рейтинг: 5.0
Отзывов: 8
Положительных: 8
Отрицательных: 0
Последний : 1785 дн. назад
8 отзывов
стоматолог-ортопед
стоматолог-хирург
стоматолог-имплантолог
Стаж 12 лет
Вахтангадзе Реваз Амвросиевич принимает в «Сеть семейных стоматологических клиник ИЛАТАН» в Москве. Стаж 12 лет. Специализируется на ортопедии, хирургии и имплантологии, по которым клиника оказывает 56 услуг. Имеет 5 работ до/после в портфолио. Квалификация специалиста подтверждена 12 лицензиями, сертификатами и наградами. Для уточнения дополнительной информации о специалисте или записи на прием можно позвонить по телефону
+7 (495)Показать телефон
.

Где принимает:

12 сертификатов
5 работ в портфолио
Опыт 12 лет

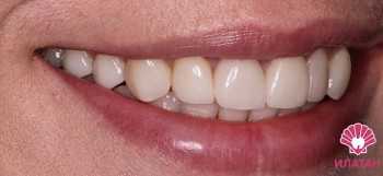
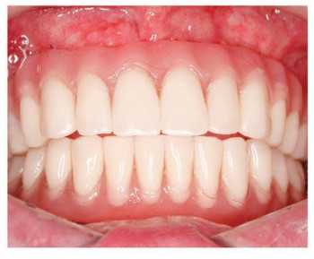
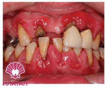
Вахтангадзе Реваз Амвросиевич: портфолио (5)

Отзывы о враче Вахтангадзе Реваз Амвросиевич

Рейтинг: 5
Отзывов: 8
Положительных: 8
Отрицательных: 0
Последний: 1785 дн. назад
5.0
Почему нашим отзывам можно доверять?
19 июня 2021 г.
1 2 3 4 5
Поражена тем, что можно сделать за три посещения с, казалось бы, безнадежным набором зубов! Его удалось превратить в красивую улыбку, о которой я давно мечтала. А лечил меня Реваз Вахтангадзе, отличный доктор, внимательный и умелый. Спасибо ему огромное!
13 июня 2021 г.
1 2 3 4 5
Эту стоматологию я выбрал для замены разрушенного зуба на имплант и коронку. Много раз убедился, что правильно выбрал, здесь и качество процедур на высоте, и цены демократичные. Ваге Даниеловичу и Ревазу Амвросьевичу – моё почтение.
4 мая 2021 г.
1 2 3 4 5
Я здесь устанавливала имплант и коронку. Очень довольна и высококлассным проведением процедур (доктора Мгдесян и Вахтангадзе, вы – мастера!) и приятной ценой на самые качественные импланты Nobel. Ставлю 5!
8 февраля 2019 г.
1 2 3 4 5
Добрый день . Прием у стоматолога для меня, как и наверное для большинства людей, всегда был, мягко говоря, неприятен. Буквально силой сама себя заставляла идти на прием, но стабильно посещаю стоматолога раз в пол-года. Тут, к своему счастью, открыла для себя клинику Илатан! Хочу от всей души поблагодарить весь коллектив клиники Илатан за мое лечение а именно Ортопеда Вахтангадзе Реваза Амвросьевича и терапевта Щербаковой Анне Сергеевне! Спасибо всем и всех благ!
6 февраля 2019 г.
1 2 3 4 5
Всем привет! Хочу поделиться своим впечатлением о проделанной мне работе! Я не так давно узнала о люминирах и решила,что хочу сделать на передние зубы. Записалась на консультацию к Вахтангадзе Реваз Амвросьевич Посмотрели и решили, что сделаем на передние 4 зуба ( меня смущал цвет и форма моих зубов+ они немного кривоваты были). Ждать пришлось конечно долго, аж 6 недель, но мне вообще не обтачивали ни одного зуба ( собственно это меня и подкупило, не хотела травмировать свои зубки). Итог: Реваз Амвросьевич установил мне люминиры - это оказалось достаточно кропотливой работой!! и вот я уже обладательница красивой улыбки своей мечты! Результатом я осталась очень довольна, благодарю своего доктора и конечно же рекомендую!
29 января 2019 г.
1 2 3 4 5
Добрый день . Хочу поблагодарить моих лечащих врачей Бердзенадзе Зураба Зауриевича, хирурга устанавливающего мне имплантаты , Золотько Ольгу Сергеевну и протезиста Вахтангадзе Реваза Амвросьевича. Я в восторге от лечения и от отношения к моей скромной персоне. Всем спасибо и удачи в вашем не легком деле. Всего вам доброго!
24 ноября 2018 г.
1 2 3 4 5
Ставила импланты нобель биокар 2 штуки на нижнюю челюсть, все прошло хорошо, операция меньше часа длилась, реабилитация заняла 2 недели, опухоли особой не было, рана не кровила, я старалась выполнять все рекомендации врача и обошлось без эксцессов. Самые радостные эмоции были после установки коронок когда я увидела 2 полноценных зуба на месте двух дырок. Этот момент на всю жизнь запомнится. Переполняла благодарность. Так что всем огромное спасибо, Зурабу Зауриевичу, Ревазу Амвросьевичу и их помощникам.
30 октября 2018 г.
1 2 3 4 5
О белых зубах мечтала давно, наверное как и любая девушка в наше время, и вот на прошлой неделе сбылась мечта идиотки!!!! Поставила виниры е-макс самого светлого оттенка!!!! С детства была явная кривизна на передних и эмаль грязного серого цвета, видимо когда раздавали зубы я была где-то в другом месте!!!)) Отговаривали все, и друзья и родители, но решение было принято окончательно. Судя по отзывам на форумах не повезло тем, кто делал в сомнительных клиниках. Я к этому вопросу подошло серьезно, выбрала ортопеда по знакомству (Реваз Амвросьевич привет вам), многие у него делали и остались довольны. По деньгам не дорого, но и не дешево, вышло 16900 за один зуб!!!! Сейчас не могу налюбоваться своей улыбкой!!!! Кто сомневается делайте не бойтесь, не пожалеете!!!
    Помогите другим сделать правильный выбор — оставьте свой отзыв о докторе
    Написать отзыв

    Услуги стоматолога в других клиниках

    Хирургическая стоматология
    Удаление зубов от 1 150 ₽ до 25 000 ₽
    Удаление кисты и гранулемы зуба от 600 ₽ до 48 500 ₽
    Еще услуги
    Протезирование зубов
    Установка коронки на зуб от 4 500 ₽ до 120 000 ₽
    Виды протезов
    Еще услуги
    Имплантация
    Установка мини-импланта от 3 000 ₽ до 35 000 ₽
    Коронки на имплантах от 12 000 ₽ до 90 000 ₽
    Еще услуги