Стоматолог Абдулатипов Магомед Абдулатипович — цены, отзывы, стаж — Принимает в Москве

Абдулатипов Магомед Абдулатипович

Абдулатипов Магомед Абдулатипович - фотография
стоматолог-ортопед
Стаж 8 лет
Абдулатипов Магомед Абдулатипович принимает в «Стоматология СКАНДИС КОММУНАРКА» в Москве. Стаж 8 лет. Специализируется на ортопедии, по которой клиника оказывает 3 услуги. Имеет 7 работ до/после в портфолио. Квалификация специалиста подтверждена 3 лицензиями, сертификатами и наградами. Для уточнения дополнительной информации о специалисте или записи на прием можно позвонить по телефону
+7 (495)Показать телефон
.

Где принимает:

3 сертификата
Опыт 8 лет
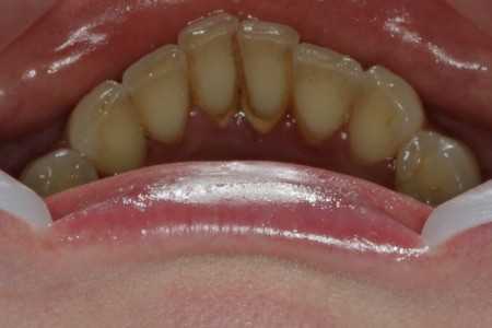
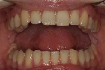
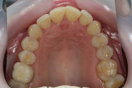
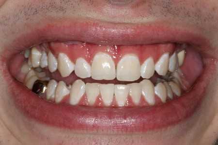
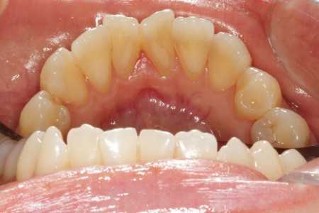
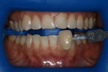
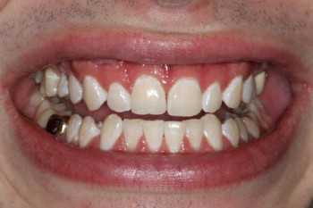
7 работ в портфолио

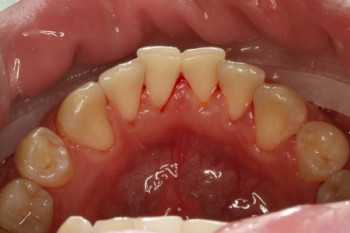
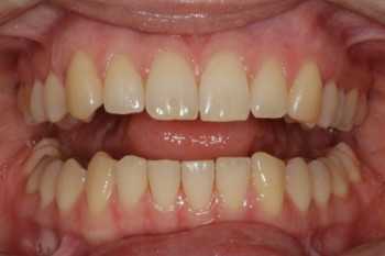
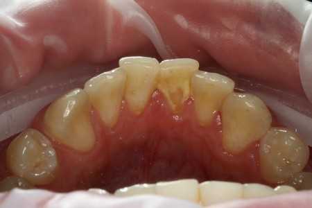
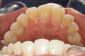
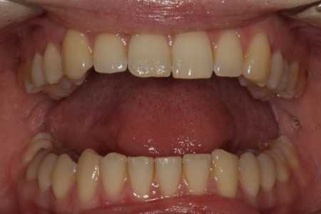
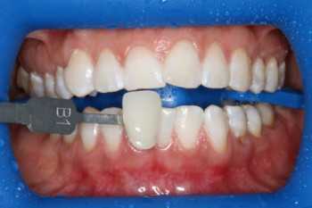
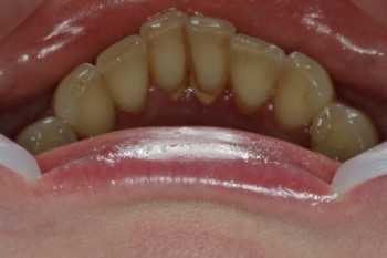
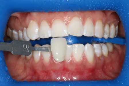
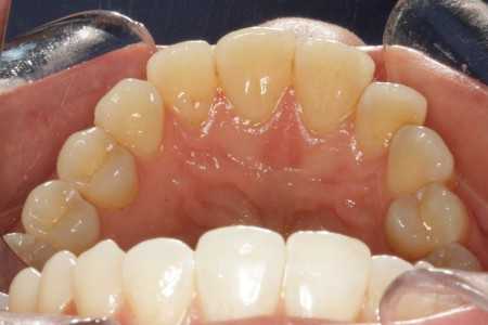
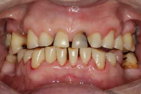
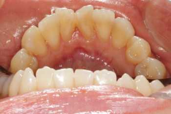
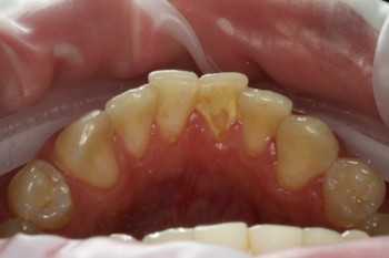
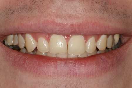
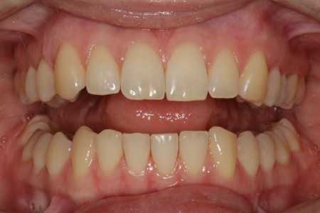
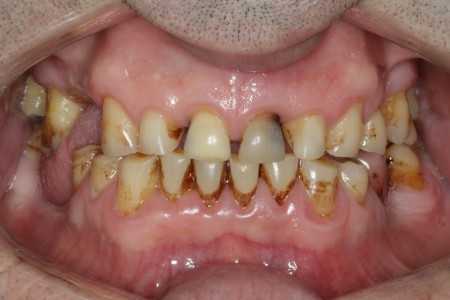
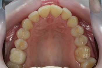
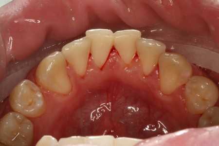
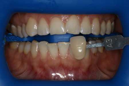
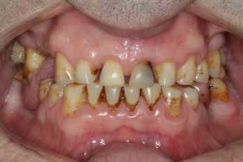
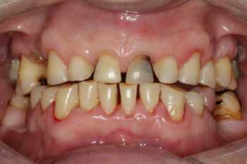
Абдулатипов Магомед Абдулатипович: портфолио (7)

    Помогите другим сделать правильный выбор — оставьте свой отзыв о докторе
    Написать отзыв

    Услуги стоматолога в других клиниках

    Протезирование зубов
    Установка коронки на зуб от 4 500 ₽ до 120 000 ₽
    Виды протезов
    Еще услуги