Стоматолог Коваленко Олег Игоревич — цены, отзывы, стаж — Принимает в Москве

Коваленко Олег Игоревич

Коваленко Олег Игоревич - фотография

5.0
Рейтинг: 5.0
Отзывов: 4
Положительных: 4
Отрицательных: 0
Последний : 200 дн. назад
4 отзыва
стоматолог-ортопед
стоматолог-хирург
стоматолог-имплантолог
детский стоматолог-хирург
Стаж 22 года
Коваленко Олег Игоревич принимает в «Сеть стоматологических центров АО СТОМ» в Москве. К.м.н., стаж 22 года. Специализируется на ортопедии, хирургии и имплантологии, по которым клиника оказывает 47 услуг. Имеет 4 работы до/после в портфолио. Квалификация специалиста подтверждена 21 лицензиями, сертификатами и наградами. Для уточнения дополнительной информации о специалисте или записи на прием можно позвонить по телефону
+7 (495)Показать телефон
. Занимает 3 место в рейтинге детских стоматологов-хирургов 32top в вашем городе. Также 32top представляет форму онлайн расписания, через которую можно записаться к специалисту на свободную дату и время.

Где принимает:

21 сертификат
4 работы в портфолио
6 видеоотзывов
Опыт 22 года
Кандидат мед.наук

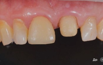
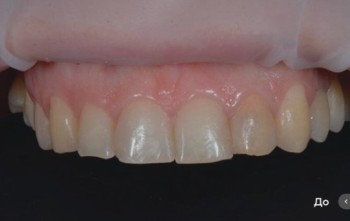
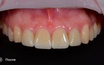
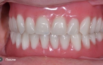
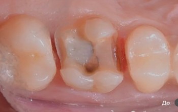
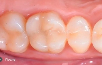
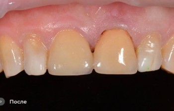
Коваленко Олег Игоревич: портфолио (4)

Отзывы о враче Коваленко Олег Игоревич

Рейтинг: 5
Отзывов: 4
Положительных: 4
Отрицательных: 0
Последний: 200 дн. назад
5.0
Почему нашим отзывам можно доверять?
20 октября 2025 г.
1 2 3 4 5
Первый раз в клинику на Шаболовке пришел мой муж. У него были два верхние зуба которые он пришёл вырвать потому что мы думали что с ними уже ничего нельзя сделать. Какое было удивление когда мало того что их не вырвали,а сделали из них два полноценных зуба,их восстановили. Второй клинику посетила наша дочь, у нее сами по себе были проблемные зубы,они были очень мягкие и быстро ломались. У мужа и дочери впечатления о клинике сложились очень хорошие. Через некоторое время, не сразу, потому что я боюсь зубных врачей, и я решилась пойти в эту клинику. Как только я вошла внутрь, со мной очень приветливо с улыбкой поздоровалась девушка администратор, они менялись то Светлана, то Алеся, обе очень приветливы и доброжелательны. Так же присутствовала управляющая Татьяна Васильевна, она все рассказала и успокоила. И уже на входе моя тревога и беспокойство поутихли. Потом когда я зашла в кабинет Шалиной Юлии Андреевны я вообще перестала бояться. Она профессионал своего дела,делает свою работу четко слаженно и быстро. Она отреставрировала мои передние зубы, сделала их настолько качественно и красиво, что я была в восторге, я рассчитывала на коронки только, но ей удалось сохранить мои. Спасибо Вам большое за ваш труд. После верхних зубов у меня предстояла сложная процедура на нижней челюсти. Вырывание зубов которые крошатся по кусочкам, сразу ставили на их место 6 имплантов. Врач Коваленко Олег Игоревич который делал мне удаление и установку имплантов, настолько нашел ко мне подход, я сразу прониклась доверием и все что мне делали, а прием длился 3 часа 30 минут, я перенесла спокойно и это благодаря врачу который сделал все чтоб человек сидящий в кресле не думал о боли. Клиника очень хорошая,высококвалифицырованная,прекрасное отношение подход к каждому человеку индивидуально. Особый подход в клинике для маленьких пациентов,при мне пришла мамочка с ребёнком и я была приятно удивлена, что ребенок после визита вышел улыбающийся и с подарком. Все администраторы, врачи, управляющая и весь персонал клиники профессионалы своего дела.
Здравствуйте. Спасибо Вам огромное за такой подробный, искренний и тёплый отзыв! Нам невероятно приятно читать, что Ваша семья доверила заботу о своём здоровье нашей клинике и осталась довольна результатами. Отлично, что визит Вашего мужа обернулся не удалением, а восстановлением зубов — мы всегда стараемся сохранить естественные зубы, если это возможно. Рады, что и у Вашей дочери лечение прошло успешно и комфортно. А особенно приятно, что Вы сами преодолели страх перед стоматологом — это, пожалуй, лучшая оценка работы нашей команды. Шалина Юлия Андреевна действительно талантливый врач, она умеет сочетать профессионализм с деликатностью и вниманием к деталям. То, что ей удалось восстановить передние зубы без коронок — результат ювелирной работы. Коваленко Олег Игоревич — хирург-имплантолог с большим опытом, и его умение создать доверительную атмосферу во время сложных процедур помогает пациентам проходить лечение спокойно и без стресса. Спасибо, что отметили администраторов и управляющую клиники Татьяну Васильевну — нам важно, чтобы с самого первого визита пациенты чувствовали внимание, заботу и уверенность. Ваш отзыв — огромная поддержка для всей команды. Мы искренне благодарим Вас за доверие и за то, что поделились таким тёплым опытом. С уважением, команда АО Стом
После приема Пациент записывался в клинику через 32top. После приёма мы позвонили ему и получили отзыв.
18 мая 2025 г.
1 2 3 4 5
Клиника находится в соседнем доме. Лечение проходила у имплантолога Коваленко О.И., а так же терапевта Акоповой А.М., у них отличный тандем. Я очень довольна их работой, они профессионалы своего дела, отличные специалисты, опытные, грамотные. Привела в эту клинику на лечение свою дочь и сына, тоже хочу отметить работу детского врача Ковалевой Т.В. Прекрасный врач, может найти подход к детям, все подробно объясняет и рассказывает какой должен быть правильный уход за зубами. Спасибо все врачам этой клиники, вы молодцы!
Здравствуйте! Благодарим Вас за такой подробный и тёплый отзыв. Очень приятно, что Вы доверили лечение сразу всей семьи именно нашей клинике. Хирург-имплантолог Коваленко Олег Игоревич и стоматолог-терапевт-микроскопист Акопова Анна Михайловна действительно прекрасно работают в тандеме — их профессионализм, внимательность и слаженность позволяют добиваться отличных результатов. Отдельное спасибо за добрые слова в адрес стоматолога-ортодонта, детского стоматолога Ковалевой Татьяны Васильевны. Она не только внимательный специалист, но и замечательный детский врач, который легко находит контакт с детьми и доступно объясняет, как правильно заботиться о зубах с самого раннего возраста. Благодарим за доверие и искреннюю оценку нашей работы! С уважением, команда АО Стом.
После приема Пациент записывался в клинику через 32top. После приёма мы позвонили ему и получили отзыв.
12 мая 2025 г.
1 2 3 4 5
Клинику нашел в интернете, услугами пользуюсь уже давно. Клиника мне нравится, отличные врачи, качество всегда на 5+. Ставил имплант у Олега Игоревича и параллельно проходил лечение у Анны Михайловны. Все отлично, лечение прошло комфортно, я очень доволен результатом, всем рекомендую.
Здравствуйте! Благодарим Вас за отзыв и доверие к нашей клинике. Очень рады, что имплантация у хирурга-имплантолога Коваленко Олега Игоревича прошла успешно и оставила у Вас только положительные впечатления. Он тщательно планирует каждый этап и проводит процедуру максимально точно, что позволяет добиться надёжного и эстетичного результата. Отдельно приятно, что Вы отметили комплексный подход — параллельное лечение у нашего стоматолога-терапевта-микроскописта Анны Михайловны дополнило восстановление и сделало процесс комфортным и эффективным. Спасибо, что рекомендуете нас — это лучшая награда для всей команды! С уважением, команда АО Стом.
17 апреля 2025 г.
1 2 3 4 5
Огромная благодарность врачам и клинике! Уже несколько лет доверяю им своих детей, лечусь сама и мои друзья. Вы лучшие! Спасибо вам за ваши золотые руки. Особая благодарность Олегу Игоревичу ведь он сделал мою улыбку здоровой и красивой, а ведь задача была не простая, ему переделывать пришлось полностью всю мою челюсть. Постепенно, шаг за шагом (для меня сложно быть в кресле) он сделал абсолютно всё и теперь не только голивудская улыбка, но и полностью функционален каждый зуб. Спасибо еще раз вам за ваш труд и терпение ко мне.
Здравствуйте! От всей души благодарим Вас за такие искренние и вдохновляющие слова. Нам невероятно приятно, что Вы доверяете нашей клинике не только своё здоровье, но и здоровье близких — это самая высокая оценка нашей работы.Главный врач стоматолог-ортопед, хирург-имплантолог Коваленко Олег Игоревич — действительно специалист с большим опытом, вниманием к деталям и душой к каждому пациенту. Мы очень рады, что путь к здоровой и красивой улыбке пройден вместе с нами. Спасибо за доверие! С уважением, команда АО Стом.
    Помогите другим сделать правильный выбор — оставьте свой отзыв о докторе
    Написать отзыв

    Услуги стоматолога в других клиниках

    Диагностика
    Консультация стоматолога от 1 ₽ до 3 500 ₽
    Консультация стоматолога-ортопеда от 1 ₽ до 5 000 ₽
    Еще услуги
    Эстетическая стоматология
    Установка виниров от 29 000 ₽ до 82 600 ₽
    Установка скайсов от 1 500 ₽ до 12 000 ₽
    Еще услуги
    Хирургическая стоматология
    Удаление зубов от 1 150 ₽ до 25 000 ₽
    Удаление кисты и гранулемы зуба от 600 ₽ до 48 500 ₽
    Еще услуги
    Протезирование зубов
    Установка коронки на зуб от 4 500 ₽ до 120 000 ₽
    Виды протезов
    Еще услуги
    Имплантация
    Установка мини-импланта от 3 000 ₽ до 35 000 ₽
    Коронки на имплантах от 12 000 ₽ до 90 000 ₽
    Еще услуги