Стоматолог Макурдумян (Каменская) Диана Алексеевна — цены, отзывы, стаж — Принимает в Москве

Макурдумян (Каменская) Диана Алексеевна

Макурдумян (Каменская) Диана Алексеевна - фотография
стоматолог-ортопед
Стаж 23 года
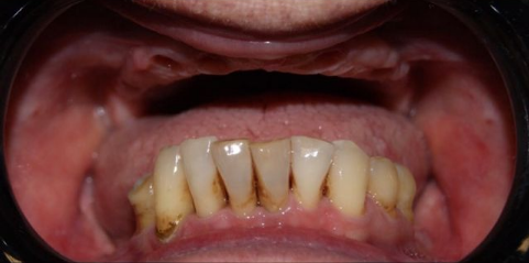
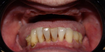
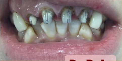
Макурдумян (Каменская) Диана Алексеевна принимает в «Клинический центр стоматологии КЛИНИКА МГМСУ ИМ. А.И. ЕВДОКИМОВА» в Москве. К.м.н., стаж 23 года. Специализируется на ортопедии, по которой клиника оказывает 27 услуг. Имеет 9 работ до/после в портфолио. Для уточнения дополнительной информации о специалисте или записи на прием можно позвонить по телефону
+7 (499)Показать телефон
.

Где принимает:

Кандидат мед.наук
9 работ в портфолио
Опыт 23 года

Макурдумян (Каменская) Диана Алексеевна: портфолио (9)

Отзывы о враче Макурдумян (Каменская) Диана Алексеевна

Почему нашим отзывам можно доверять?
28 февраля 2025 г.
1 2 3 4 5
Обратилась к Диане Алексеевна три года назад, до этого была у многих специалистов, хорошего результата я не получила. Уже на протяжение трех лет занимаюсь зубами только у неё, переделывала старые коронки. Удивительный врач, высокого профессионализма , к которому приятно придти не только потому что хороший доктор , но и человек с большим сердцем!
    Помогите другим сделать правильный выбор — оставьте свой отзыв о докторе
    Написать отзыв

    Услуги стоматолога в других клиниках

    Протезирование зубов
    Установка коронки на зуб от 4 500 ₽ до 120 000 ₽
    Установка протеза Акри Фри (Acry-Free) от 11 400 ₽ до 84 750 ₽
    Еще услуги