Стоматолог Петросян Бабке Каренович — цены, отзывы, стаж — Принимает в Москве

Петросян Бабке Каренович

avatar
стоматолог-ортопед
Стаж 17 лет
Петросян Бабке Каренович принимает в «Стоматологическая клиника МЕДСЕРВИС М» в Москве. Стаж 17 лет. Специализируется на ортопедии, по которой клиника оказывает 13 услуг. Для уточнения дополнительной информации о специалисте или записи на прием можно позвонить по телефону
+7 (495)Показать телефон
.

Где принимает:

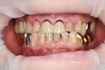
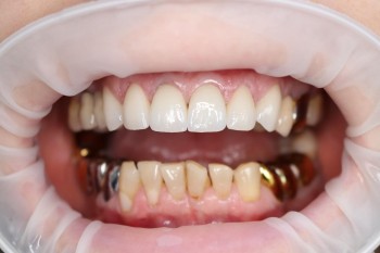
1 работа в портфолио
Опыт 17 лет

Петросян Бабке Каренович: портфолио (1)

    Помогите другим сделать правильный выбор — оставьте свой отзыв о докторе
    Написать отзыв

    Услуги стоматолога в других клиниках

    Протезирование зубов
    Установка коронки на зуб от 4 500 ₽ до 120 000 ₽
    Установка протеза Акри Фри (Acry-Free) от 11 400 ₽ до 85 000 ₽
    Еще услуги