Стоматолог Муссуров Иван Андреевич — цены, отзывы, стаж — Принимает в Москве

Муссуров Иван Андреевич

Муссуров Иван Андреевич - фотография

3.8
Рейтинг: 3.8
Отзывов: 14
Положительных: 9
Отрицательных: 5
Последний : 236 дн. назад
14 отзывов
стоматолог-ортопед
стоматолог-хирург
стоматолог-имплантолог
Стаж 22 года
главный врач
Муссуров Иван Андреевич принимает в «КЛИНИКА ДОКТОРА МУССУРОВА» в Москве. Главный врач, стаж 22 года. Специализируется на ортопедии, хирургии и имплантологии, по которым клиника оказывает 30 услуг. Имеет 4 работы до/после в портфолио. Опыт подтверждён 14 отзывами пациентов, из которых 9 положительные. Для уточнения дополнительной информации о специалисте или записи на прием можно позвонить по телефону
+7 (495)Показать телефон
. Также 32top представляет форму онлайн расписания, через которую можно записаться к специалисту на свободную дату и время.

Где принимает:

Опыт 22 года
1 сертификат
Главный врач
4 работы в портфолио

Отзывы о враче Муссуров Иван Андреевич

Рейтинг: 3.77
Отзывов: 14
Положительных: 9
Отрицательных: 5
Последний: 236 дн. назад
3.8
Почему нашим отзывам можно доверять?
10 сентября 2025 г.
1 2 3 4 5
Каждые полгода хожу к доктору Муссурову на чистку зубов. Мой врач — Степанида Николаевна Статова — просто волшебница! После её процедур мои зубки всегда блестят, а улыбка становится просто загляденье.
После приема Пациент записывался в клинику через 32top. После приёма мы позвонили ему и получили отзыв.
26 июля 2025 г.
1 2 3 4 5
Клинику выбрал в интернете, ориентировался на местоположение, чтобы мне было удобно добираться. Администраторы очень отзывчивые, записали меня на удобное время к врачу Муссурову Ивану. Очень был доволен приемом, врач профессионал своего дела, сначала был осмотр, далее провели всю диагностику, потом составил план лечения. Сейчас прохожу все этапы лечения. Очень доволен качеством.
24 июня 2024 г.
1 2 3 4 5
В эту стоматологию ходила по рекомендации к Муссурову Ивану Андреевичу ставить у него виниры. Вот не зря мне рекомендовали этого врача, реально профессионал своего дела! Теперь шикарная улыбка, белые зубы, всё максимально аккуратно. Врач очень располагает к себе
13 марта 2024 г.
1 2 3 4 5
Хочу от всей души порекомендовать отличного специалиста Муссурова Ивана Андреевича. Он единственный врач, который смог мне действительно помочь. Тогда как другие предлагали удалять зубы и ставить мосты, Иван Андреевич благодаря своему опыту решил этот вопрос более щадяще для меня. Большое вам спасибо!
7 февраля 2024 г.
1 2 3 4 5
Мне Иван Андреевич Муссуров ставил имплант. Врач понравился, опытный, доброжелательный. Есть от него какая-то тёплая энергетика)) Довольна новыми зубами)
16 октября 2023 г.
1 2 3 4 5
Ставила тут виниры. Да, конечно цена не самая дешёвая, но о клинике этой наслышана, делают действительно очень качественно и аккуратно. Работой более чем довольна. 
6 июля 2022 г.
1 2 3 4 5
Была на приеме вынужденно лет 5 назад тк мой врач был в отпуске. На приеме активно переписывался с девушкой, вообще не обращал внимание на мои комментарии. Первый раз в жизни стоматолог вёл себя так по-хамски. Из-за него потеряла в итоге два зуба. Допустил ряд врачебных ошибок, предлагал вырвать коронку говоря что будет заражение уже завтра, которая в итоге нормально простояла 5 лет, оставил карман между коронками, пытался залечить вообще что-то не то, в итоге разрушилось два зуба и теперь мне в 32 года нужно ставить два имплантата,страшно, дорого. Ужасно. Слава Богу из моей клиники он уволен, или уволился. Никогда не ходите к нему, по моему мнению, жуткий не профессионал очень печально, что я попала к нему, а не к любому другому врачу из списка, теперь у меня серьёзные проблемы(
30 апреля 2020 г.
1 2 3 4 5
Рекомендую клинику Ивана Андреевича Муссурова, вся моя семья его пациенты. В клинике самая современная аппаратура и материалы, его опыт и знания спасли не один зуб в нашей семье.
19 января 2020 г.
1 2 3 4 5
Осенью прошлого года начал лечиться у Ивана Андреевича. Вчера были поставлены последние коронки на импланты. Результатом доволен на все 100! Иван Андреевич настоящий профессионал в своем деле!
3 апреля 2019 г.
1 2 3 4 5
Ужасный стоматолог. Абсолютно не слушал мои жалобы,а тем временем кому то звонил.уходил от вопросов и выходил их кабинета несколько раз по своим делам.
    Помогите другим сделать правильный выбор — оставьте свой отзыв о докторе
    Написать отзыв

    Награды врача

    Топ-40 по итогам Народного рейтинга 2024

    Услуги врача (108)

    Диагностика
    Консультация стоматолога
    от 3 750 ₽
    Эстетическая стоматология
    Отбеливание зубов
    от 8 800 ₽ за 1 челюсть
    Наращивание зубов
    Установка виниров
    от 53 750 ₽ за 1 зуб
    Еще услуги
    Хирургическая стоматология
    Удаление зубов
    от 1 900 ₽ до 22 700 ₽ за 1 зуб
    Удаление зуба мудрости
    от 15 150 ₽ до 22 700 ₽ за 1 зуб
    Сложное удаление зуба
    Еще услуги
    Протезирование зубов
    Установка коронки на зуб
    от 53 750 ₽ за 1 зуб
    Установка протеза Акри Фри (Acry-Free)
    от 54 450 ₽ за 1 челюсть
    Ремонт зубных протезов
    Еще услуги
    Имплантация
    Имплантация зубов под ключ
    Установка мини-импланта
    от 11 385 ₽ за 1 зуб
    Коронки на имплантах
    Еще услуги
    Все цены носят ознакомительный характер. Точную цену вы сможете получить только после консультации специалиста.
    Звоните по телефону:
    +7 (495)Показать телефон

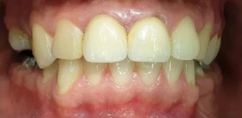
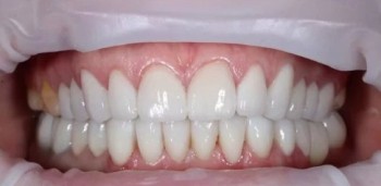
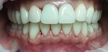
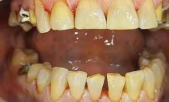
    Муссуров Иван Андреевич: портфолио (4)

    Акции и скидки клиники КЛИНИКА ДОКТОРА МУССУРОВА (5)