Стоматолог Басов Алексей Викторович — цены, отзывы, стаж — Принимает в Москве

Басов Алексей Викторович

Басов Алексей Викторович - фотография
стоматолог-терапевт
стоматолог-ортопед
Стаж 32 года
Басов Алексей Викторович принимает в «Научная стоматология НАУДЕНТ» в Москве. К.м.н., стаж 32 года. Специализируется на терапии и ортопедии, по которым клиника оказывает 43 услуги. Имеет 3 работы до/после в портфолио. Квалификация специалиста подтверждена 2 лицензиями, сертификатами и наградами. Для уточнения дополнительной информации о специалисте или записи на прием можно позвонить по телефону
+7 (495)Показать телефон
.

Где принимает:

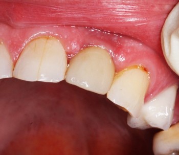
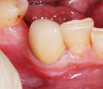
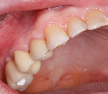
3 работы в портфолио
2 сертификата
Кандидат мед.наук
Опыт 32 года

О стоматологе

Ученик известного в стране специалиста по патологии височно-челюстного сустава академика Хватовой В.А.. Под её руководством защитил кандидатскую диссертацию (1999). С 2000 года ассистент, с 2006 года по настоящее время доцент кафедры ортопедической стоматологии Российской медицинской академии последипломного образования. Автор 72 научных работ и 8 патентов на изобретения. Владеет технологией применения основных европейских систем артикуляторов и лицевых дуг. Ведет семинары и мастер-классы по суставной патологии, патологии прикуса и принципам их лечения. Зам.председателя секции «Гнатология» в стоматологической ассоциации России (СтАР). Владеет всеми современными технологиями подготовки зубочелюстной системы и ортопедического лечения в стоматологии. Специалист высшей категории.

Басов Алексей Викторович: портфолио (3)

    Помогите другим сделать правильный выбор — оставьте свой отзыв о докторе
    Написать отзыв

    Услуги стоматолога в других клиниках

    Эстетическая стоматология
    Установка виниров от 29 000 ₽ до 82 600 ₽
    Установка скайсов от 1 500 ₽ до 12 000 ₽
    Еще услуги
    Протезирование зубов
    Лечение адентии от 79 990 ₽ до 180 000 ₽
    Установка коронки на зуб от 4 500 ₽ до 120 000 ₽
    Еще услуги