Стоматолог Овсепян Карен Тигранович — цены, отзывы, стаж — Принимает в Москве

Овсепян Карен Тигранович

Овсепян Карен Тигранович - фотография

5.0
Рейтинг: 5.0
Отзывов: 101
Положительных: 99
Отрицательных: 2
Последний : 1500 дн. назад
101 отзыв
стоматолог-терапевт
стоматолог-ортопед
стоматолог-хирург
стоматолог-имплантолог
Стаж 20 лет
к.м.н., главный врач
Овсепян Карен Тигранович принимает в «Стоматологическая клиника ФУЛЛКЛИНИК» в Москве. К.м.н., главный врач, стаж 20 лет. Специализируется на терапии, ортопедии, хирургии и имплантологии, по которым клиника оказывает 35 услуг. Имеет 5 работ до/после в портфолио. Квалификация специалиста подтверждена 19 лицензиями, сертификатами и наградами, а опыт 101 отзывом пациентов, из которых 99 положительные. Для уточнения дополнительной информации о специалисте или записи на прием можно позвонить по телефону
+7 (495)Показать телефон
. Также 32top представляет форму онлайн расписания, через которую можно записаться к специалисту на свободную дату и время.

Где принимает:

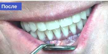
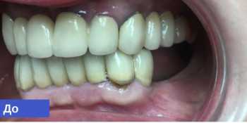
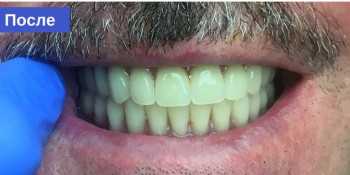
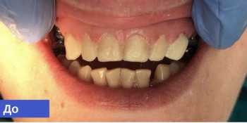
5 работ в портфолио
19 сертификатов
Опыт 20 лет
Главный врач
Кандидат мед.наук

Отзывы о враче Овсепян Карен Тигранович

Рейтинг: 4.92
Отзывов: 101
Положительных: 99
Отрицательных: 2
Последний: 1500 дн. назад
5.0
Почему нашим отзывам можно доверять?
29 марта 2022 г.
1 2 3 4 5
На консультации у Карена Тиграновича понял, что он обладает огромным опытом в своей специальности. Вначале я сам сделал свое предположение о возможном лечении, но сменил свое мнение, когда доктор стал объяснять, почему оптимальным решением будет установка трех коронок на нижней челюсти. Согласился с мнением врача, только потом понял, что не зря. Работа сделана отлично. Могу рекомендовать врача.
17 марта 2022 г.
1 2 3 4 5
Карен Тигранович установил мне два импланта на нижнюю челюсть. Вначале были удалены корни, потом поставлены импланты. Процедура прошла по времени достаточно быстро, думал, что займет намного больше времени. Я очень переживал по поводу того, как приживутся импланты. Когда приходил на прием, делали снимок, было видно, что все идет по плану. Доктор постоянно настраивал меня на позитив, и я действительно уходил от него с лучшим настроением, чем приходил. Рад, что выбрал стоматологию «Full clinic» и попал к этому доктору.
23 февраля 2022 г.
1 2 3 4 5
Хочу поблагодарить доктора Карена Тиграновича за поставленные коронки из циркония. Были запломбированы два нижних резца, но со временем заметил, что пломбы приняли тёмно-желтый цвет, к тому же одна из пломб стала кусочками отваливаться. После обращения в клинику «Full clinic», назначили ортопеда Овсепяна, он и предложил установить коронки. После его объяснения, что это за материал, самому захотелось иметь такие коронки. Доктор вылечил оба моих зуба, коронки по цвету и форме как идентичные родные зубы. Доволен работой врача, рекомендую.
9 февраля 2022 г.
1 2 3 4 5
Спасибо большое - Овсепяну К. Т., а также его помощникам в "Full clinic"! Доктор удалил корни и вставил имплант. Очень переживала, но все прошло хорошо,а главное имплант прижился. А приживался он не быстро, хоть и в сроки. Делали снимки после установки, на них Карен Тигранович все время показывал, что никаких отрицательных реакций нет, что все в порядке нормы. Врач сделал мне и корни, и имплант, и коронку на имплант поставил. Да, все не быстро, но все получилось, и у меня нет никаких нареканий к работе доктора.
28 января 2022 г.
1 2 3 4 5
Доктор Овсепян успешно протезировал мой запущенный зуб с помощью коронки. Целенаправленно ехала к доктору, посоветовали. Ждала записи и в итоге очень довольна, что все получилось и о зубе я могу не беспокоиться. Ставки с зубом были высоки: или коронка сейчас, или потом возможное удаление, потому что с недавним обрушением стенки половины зуба так и так уже нет. Доктор объяснил, почему они так разнятся в стоимости, не говорил ставить самую дорогую и кроме этого тоже ничего не предлагал. Первый врач, работа которого оставила у меня такие впечатления и восторг.
26 января 2022 г.
1 2 3 4 5
На первом и втором зубе верхней челюсти с левой стороны у меня стояли металлокерамические коронки, ставил их давно, срок гарантии на них прошел, тем более проживал в другом городе. Коронки со временем потеряли внешний вид. Решил обратиться за помощью в стоматологию «Full clinic», посоветовал сосед. Здесь познакомился с доктором Овсепяном, сразу понял, что доктор с большим опытом. При осмотре сказал, что может предложить отличный вариант решения моей проблемы, заменить старые коронки на новые цельнокерамические, объяснил их преимущество. Все условия меня полностью устроили, и когда были поставлены новые коронки, не пожалел, что лечение проводил этот доктор. Коронки не отличишь от зубов с правой стороны.
19 января 2022 г.
1 2 3 4 5
После того как Карен Тигранович провёл лечение моих верхних передних зубов, ко мне вернулась моя улыбка. Мне была заменена старая коронка на четвёртом зубе верхней челюсти справа, а также был удалён корень второго зуба с этой же стороны, и со временем установлен постоянный имплант. Мне понравилось, как доктор общается с пациентом, подбадривает. Я действительно не знал, что мне делать с этим корнем, не ставить же мост, и вот проблема была благополучно решена. Имплант прижился без проблем, после его установки не было неприятных ощущений, и сейчас он выглядит как свой родной зуб. Спасибо доктору.
18 октября 2021 г.
1 2 3 4 5
Обратилась на консультацию по поводу замены коронок справа. Причина - противоположные независимые мнения нескольких авторитетных специалистов (удаление и импланты против срочного перелечивания каналов и протезирования). Я была настроена на имплантацию. Внимательно изучив мою КТ и все мне показав и объяснив, Карен Тигранович рекомендовал при отсутствии жалоб наблюдение 3-4 месяца, потом контроль КТ. Так я и решила сделать. Спасибо большое доктору.
18 октября 2021 г.
1 2 3 4 5
Хочу оставить свой положительный отзыв, мне доктора Овсепяна К.Т. посоветовала жена друга, она у него ставила импланты. А мне нужно было кардинально решать проблему, мои зубы и старый протез пришли в негодность окончательно и я пришёл изначально просто проконсультироваться. Поговорив с доктором, я решился сделать верх и низ по ол он фо, совершенно не жалею о вложении средств. Протез сделан очень качественно, визуально натурально выглядят зубы. Благодарю.
23 сентября 2021 г.
1 2 3 4 5
Я ни разу не пожалела, что сделала себе обе челюсти по системе ALL-on-4. Получаю комплименты о своей улыбке и красивых зубах. Я пока сама не скажу что это протез, ни кто и не догадывается что зубы искусственные. Сделано качественно, смотрятся натурально, а главное сделано индивидуально для меня. Спасибо за полноценную жизнь с зубами, доктору Овсепяну К.Т.
    Помогите другим сделать правильный выбор — оставьте свой отзыв о докторе
    Написать отзыв

    Услуги врача (93)

    Терапевтическая стоматология
    Лечение кариеса
    Лечение кариеса ICON
    Лечение поверхностного кариеса
    Еще услуги
    Хирургическая стоматология
    Удаление зубов
    Удаление зуба мудрости
    Сложное удаление зуба
    Еще услуги
    Протезирование зубов
    Установка коронки на зуб
    Ремонт зубных протезов
    Перебазировка съёмного протеза
    Еще услуги
    Имплантация
    Имплантация зубов под ключ
    Установка мини-импланта
    Коронки на имплантах
    Еще услуги
    Все цены носят ознакомительный характер. Точную цену вы сможете получить только после консультации специалиста.
    Звоните по телефону:
    +7 (495)Показать телефон

    О стоматологе

    Для моих пациентов нет ограничения по времени консультаций, и им доступно все, что может предложить современная медицина.
    Для роста собственного мастерства несколько раз в год я повышаю квалификацию в ведущих зарубежных институтах и клиниках.
    Более 10 лет я оказываю стоматологическую помощь моим любимым пациентам и горжусь мировым качеством своих услуг.
    Я специально удерживаю интервалы между приёмами пациентов с целью создания атмосферы приватности пребывания.

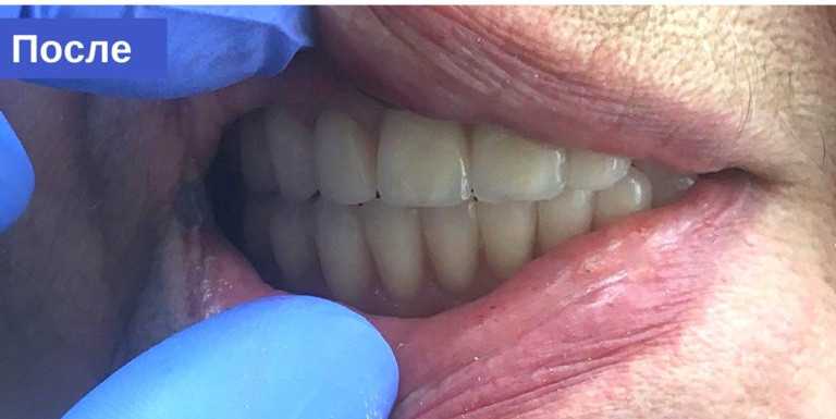
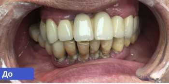
    Овсепян Карен Тигранович: портфолио (5)