Стоматолог Лучников Роман Владимирович — цены, отзывы, стаж — Принимает в Москве

Лучников Роман Владимирович

Лучников Роман Владимирович - фотография

5.0
Рейтинг: 5.0
Отзывов: 4
Положительных: 4
Отрицательных: 0
Последний : 558 дн. назад
4 отзыва
стоматолог-ортопед
Стаж 10 лет
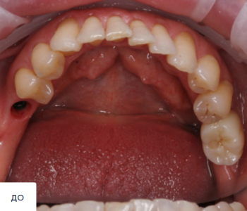
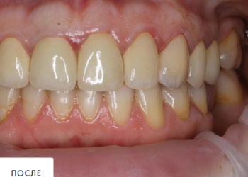
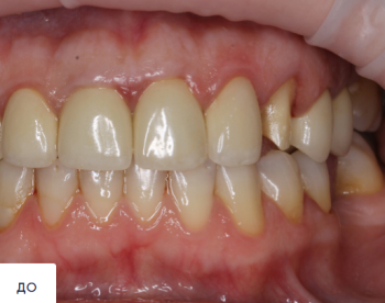
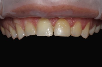
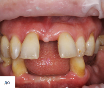
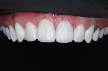
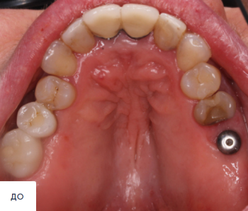
Лучников Роман Владимирович принимает в «Научная стоматология НАУДЕНТ» в Москве. Стаж 10 лет. Специализируется на ортопедии, по которой клиника оказывает 18 услуг. Имеет 13 работ до/после в портфолио. Для уточнения дополнительной информации о специалисте или записи на прием можно позвонить по телефону
+7 (495)Показать телефон
.

Где принимает:

13 работ в портфолио
Опыт 10 лет
2 видеоотзыва

Лучников Роман Владимирович: портфолио (13)

Отзывы о враче Лучников Роман Владимирович

Рейтинг: 5
Отзывов: 4
Положительных: 4
Отрицательных: 0
Последний: 558 дн. назад
5.0
Почему нашим отзывам можно доверять?
2 ноября 2024 г.
1 2 3 4 5
Хорошая клиника, с 2017 года с мужем лечим здесь зубы, ставили импланты тоже без проблем. Врачи очень грамотные и компетентные ( лечусь у них: Нагуманова Марина Аркадьевна, Лучников Роман Владимирович и Поляков Кирилл Артурович). Рекомендую
Благодарим Вас за положительный отзыв о работе нашей клиники и нашем стоматологе-терапевте Нагумановой Марине Аркадьевне. Желаем Вам здоровья и будем рады видеть Вас в нашей стоматологии. С уважением, Екатерина, старший администратор научной стоматологии "Наудент"
21 октября 2024 г.
1 2 3 4 5
Наблюдаюсь в этой клинике уже несколько лет. Прохожу комплексное лечение. Лечилась у терапевта Нугумановой М. А., продолжаю ортодонтическое лечение у Киляровой З. Ю, у ортопеда Лучникова Р. В. Всегда только положительные впечатления от профессионализм врачей, участия и внимания. Последняя процедура - имплантация, которую проводила Ковалева А. Э. Всё прошло очень успешно, почти не было отёков и боли, врач всегда на связи. Также особенно хочется поблагодарить менеджера Таисью Мосину, которая всегда подробно всё объясняет, подбирает оптимальные варианты, всегда очень доброжелательна. Рекомендую эту клинику. Соотношение цены, качества , профессионализма врачей и хорошего отношения к пациентам.
Благодарим Вас за положительный отзыв о работе нашей клиники и нашей команде специалистов. Желаем Вам здоровья и будем рады видеть Вас в нашей стоматологии. С уважением, Екатерина, старший администратор научной стоматологии "Наудент"
6 июля 2024 г.
1 2 3 4 5
Огромное спасибо врачам Нагумановой МА и Лучникову РВ, а также из ассистентам за профессионализм и чуткость в работе.
Благодарим Вас за положительный отзыв о работе нашей клиники. Желаем Вам здоровья и будем рады видеть Вас в нашей стоматологии. С уважением, Ольга, старший администратор научной стоматологии "Наудент" (ДентаСпа)
18 мая 2024 г.
1 2 3 4 5
Хотелось бы выразить благодарность клинике ДентаСпа и врачам Ковалевой Ангелине Эдуардовне и Лучникову Роману Владимировичу. Устанавливали в клинике 2 импланта, перед этим удаляла 2 зуба. Все прошло отлично, безболезненно и быстро зажило. Имплантами тоже пока довольна. Буду обращаться в данную клинику при необходимости и могу смело рекомендовать тем, кто ищет хороших специалистов.
Благодарим Вас за положительный отзыв о работе нашей клиники и нашей команде врачей. Желаем Вам здоровья и будем рады видеть Вас в нашей стоматологии. С уважением, Ольга, старший администратор научной стоматологии "Наудент"
    Помогите другим сделать правильный выбор — оставьте свой отзыв о докторе
    Написать отзыв

    Услуги стоматолога в других клиниках

    Эстетическая стоматология
    Установка виниров от 29 000 ₽ до 82 600 ₽
    Установка скайсов от 1 500 ₽ до 12 000 ₽
    Еще услуги
    Протезирование зубов
    Лечение адентии от 79 990 ₽ до 180 000 ₽
    Установка коронки на зуб от 4 500 ₽ до 120 000 ₽
    Еще услуги