Стоматолог Акопян Антон Владимирович — цены, отзывы, стаж — Принимает в Москве

Акопян Антон Владимирович

Акопян Антон Владимирович - фотография
стоматолог-хирург
стоматолог-имплантолог
Стаж 14 лет
Акопян Антон Владимирович принимает в «Стоматологическая клиника ДОКТОРА ГАЛИШНИКОВА» в Москве. Стаж 14 лет. Специализируется на хирургии и имплантологии, по которым клиника оказывает 9 услуг. Имеет 4 работы до/после в портфолио. Для уточнения дополнительной информации о специалисте или записи на прием можно позвонить по телефону
+7 (915)Показать телефон
.

Где принимает:

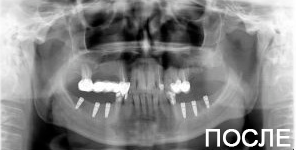
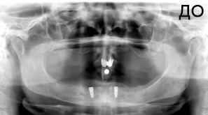
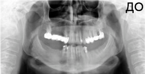
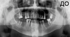
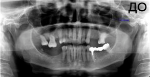
4 работы в портфолио
Опыт 14 лет

Стоматологические ассоциации

  • Является членом Russian Dental Society (РСО).

О стоматологе

Удаления зубов любой сложности. Пародонтология (закрытый, открытый кюретаж, лоскутные операции, рецекция верхушки корня, вестибулопластика, френулотомия, френулоэктомия). Переостотомия, вскрытие абсцессов и других воспалительных процессов. Цистотомия, цистэктомия. Имплантология (установка имплантатов различных систем с осложненными анатомическими условиями, направленная костная регенерация, открытый синус-лифтинг, закрытый синус-лифтинг, пластика альвеолярного гребня).

Акопян Антон Владимирович: портфолио (4)

Отзывы о враче Акопян Антон Владимирович

Почему нашим отзывам можно доверять?
16 июля 2024 г.
1 2 3 4 5
Делала имплантацию у врача Акопяна Антона Владимировича. Специалист очень грамотный и внимательный. Результатам довольна
Спасибо за ваш отзыв! Мы рады, что вы остались довольны имплантацией, проведённой доктором Антоном Владимировичем. Ваше доверие и удовлетворение результатом для нас очень важны. Если у вас возникнут ещё вопросы или пожелания, не стесняйтесь обращаться. Желаем вам отличного здоровья и благополучия!
    Помогите другим сделать правильный выбор — оставьте свой отзыв о докторе
    Написать отзыв

    Услуги стоматолога в других клиниках

    Хирургическая стоматология
    Удаление зубов от 1 150 ₽ до 25 000 ₽
    Удаление кисты и гранулемы зуба от 600 ₽ до 48 500 ₽
    Еще услуги
    Протезирование зубов
    Лечение адентии от 79 990 ₽ до 180 000 ₽
    Установка коронки на зуб от 4 500 ₽ до 120 000 ₽
    Еще услуги
    Ортодонтия
    Установка брекетов от 10 000 ₽ до 400 000 ₽
    Снятие брекетов от 530 ₽ до 42 000 ₽
    Еще услуги