Стоматолог Судакова Екатерина Юрьевна — цены, отзывы, стаж — Принимает в Москве

Судакова Екатерина Юрьевна

Судакова Екатерина Юрьевна - фотография

4.5
Рейтинг: 4.5
Отзывов: 7
Положительных: 6
Отрицательных: 1
Последний : 320 дн. назад
7 отзывов
стоматолог-терапевт
стоматолог-ортопед
стоматолог-гигиенист
Стаж 19 лет
Судакова Екатерина Юрьевна принимает в «Стоматология ДОКТОР ПРЕОБРАЖЕНСКИЙ» в Москве. Стаж 19 лет. Специализируется на терапии, ортопедии и гигиене полости рта, по которым клиника оказывает 40 услуг. Имеет 8 работ до/после в портфолио. Квалификация специалиста подтверждена 10 лицензиями, сертификатами и наградами. Для уточнения дополнительной информации о специалисте или записи на прием можно позвонить по телефону
+7 (495)Показать телефон
.

Где принимает:

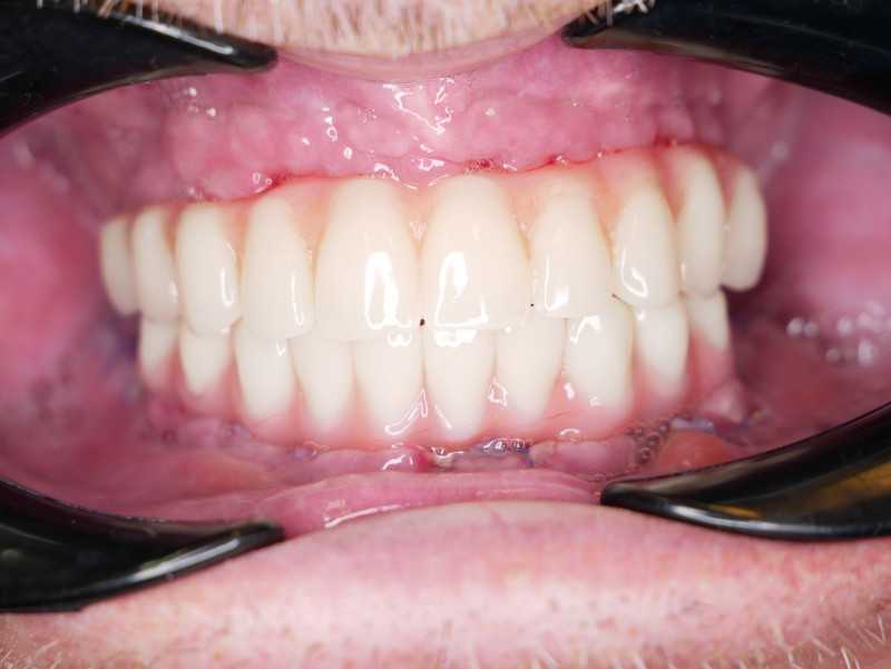
8 работ в портфолио
Опыт 19 лет
10 сертификатов

Отзывы о враче Судакова Екатерина Юрьевна

Рейтинг: 4.43
Отзывов: 7
Положительных: 6
Отрицательных: 1
Последний: 320 дн. назад
4.5
Почему нашим отзывам можно доверять?
После приема Пациент записывался в клинику через 32top. После приёма мы позвонили ему и получили отзыв.
19 июня 2025 г.
1 2 3 4 5
Как же я рад, что выбрал именно эту клинику! Огромное спасибо ортопеду Екатерине Юрьевне - она сделала просто потрясающую работу!
Уважаемый пациент! Примите нашу искреннюю благодарность за тёплые слова! Мы очень рады, что Вы остались довольны выбором нашей клиники и высоко оценили работу Екатерины Юрьевны.
13 апреля 2021 г.
1 2 3 4 5
Я давно хотел попасть в клинику для того, чтобы удалить зубной камень, но всё не было времени. На прошлой неделе начался отпуск и я, первым делом, записался на приём. Благодарен Судаковой Екатерине за профессионализм. После процедуры получил список рекомендаций. В следующий раз, только к вам! Спасибо!
9 ноября 2019 г.
1 2 3 4 5
Была на приеме у Судаковой Е.Ю на Амурской 44к2,когда она там ещё работала,но потом видно её уволили из-за жалоб.Так вот она мне высверлила полностью зуб,что после неё мне переделывали два врача.Ничего она не умеет делать,а отзывы её же знакомые здесь и написали.Общаться с людьми не умеет и работу свою не знает.Бегите дальше,если она будет Вашим врачом.
11 октября 2019 г.
1 2 3 4 5
Спасибо доктору Судаковой Екатерине Юрьевне за чуткое отношение, поставила мне виниры, я очень довольная. Рекомендую !!! Приду делать еще и импланты.
28 сентября 2019 г.
1 2 3 4 5
Я, Думбрава Лилия Сергеевна проходила лечение в вашей клинике и выражаю благодарность за отзывчивость, ответственность всего персонала и особенно моему дорогому доктору Судаковой Екатерине Юрьевне за аккуратную работу , профессионализм и очень умелые ручки !!1 Техникам огромная благодарность за виниры,молодцы!!!
10 февраля 2019 г.
1 2 3 4 5
Лечилась у Судаковой Екатерины Юрьевны очень внимательный и волшебный доктор! Буду всем рекомендовать !!!! Всегда боялась стоматологов а тут впервые была спокойна! Огромное спасибо!
5 февраля 2019 г.
1 2 3 4 5
Спасибо за профессионализм и хорошое отношение персонала, и отдельное спасибо и благодарность врачу Судаковай Екатерине Юрьевне.
    Помогите другим сделать правильный выбор — оставьте свой отзыв о докторе
    Написать отзыв

    Судакова Екатерина Юрьевна: портфолио (8)

    Услуги стоматолога в других клиниках

    Терапевтическая стоматология
    Лечение кариеса от 3 500 ₽ до 14 500 ₽
    Лечение пульпита от 5 000 ₽ до 35 000 ₽
    Еще услуги
    Эстетическая стоматология
    Установка виниров от 29 000 ₽ до 82 600 ₽
    Установка скайсов от 1 500 ₽ до 12 000 ₽
    Еще услуги
    Протезирование зубов
    Установка коронки на зуб от 4 500 ₽ до 120 000 ₽
    Виды протезов
    Еще услуги
    Профгигиена
    Чистка зубов Air-flow от 1 000 ₽ до 12 800 ₽
    Фторирование зубов от 50 ₽ до 7 500 ₽
    Еще услуги