Стоматолог Однолеткова Ирина Игоревна — цены, отзывы, стаж — Принимает в Москве

Однолеткова Ирина Игоревна

Однолеткова Ирина Игоревна - фотография
стоматолог-терапевт
Стаж 15 лет
главный врач
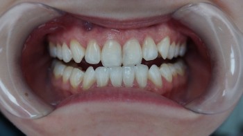
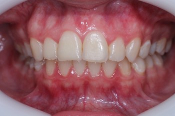
Однолеткова Ирина Игоревна принимает в «Стоматологический комплекс ПРЕЗИДЕНТ» в Москве. Главный врач, стаж 15 лет. Специализируется на терапии, по которой клиника оказывает 19 услуг. Имеет 3 работы до/после в портфолио.

Где принимает:

Главный врач
3 работы в портфолио
Опыт 15 лет

Другие специалисты

Услуги в других клиниках

Наименование услуги Цена по городу
Терапевтическая стоматология
Лечение кариеса
от 3 500 ₽ до 14 500 ₽
(2830 клиник)
Лечение пульпита
от 5 000 ₽ до 35 000 ₽
(2679 клиник)
Еще услуги
Детская стоматология
Серебрение молочных зубов
от 200 ₽ до 3 000 ₽
(740 клиник)
Лечение кариеса у детей
от 1 200 ₽ до 9 700 ₽
(1197 клиник)
Еще услуги
Профгигиена
Фторирование зубов
от 50 ₽ до 7 500 ₽
(1009 клиник)

Однолеткова Ирина Игоревна: портфолио (3)

    Помогите другим сделать правильный выбор — оставьте свой отзыв о докторе
    Написать отзыв