Стоматолог Гасиловский Давид Сергеевич — цены, отзывы, стаж — Принимает в Москве

Гасиловский Давид Сергеевич

Гасиловский Давид Сергеевич - фотография

5.0
Рейтинг: 5.0
Отзывов: 21
Положительных: 21
Отрицательных: 0
Последний : 55 дн. назад
21 отзыв
ТОП-30 в рейтинге
стоматолог-ортопед
стоматолог-хирург
стоматолог-имплантолог
Стаж 9 лет
Гасиловский Давид Сергеевич принимает в «Стоматология МИГ ДЕНТ» в Красногорске. Стаж 9 лет. Специализируется на ортопедии, хирургии и имплантологии, по которым клиника оказывает 37 услуг. Имеет 5 работ до/после в портфолио. Квалификация специалиста подтверждена 18 лицензиями, сертификатами и наградами, а опыт 21 отзывом пациентов, из которых 21 положительный. Для уточнения дополнительной информации о специалисте или записи на прием можно позвонить по телефону
+7 (968)Показать телефон
. Также 32top представляет форму онлайн расписания, через которую можно записаться к специалисту на свободную дату и время.

Где принимает:

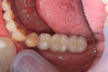
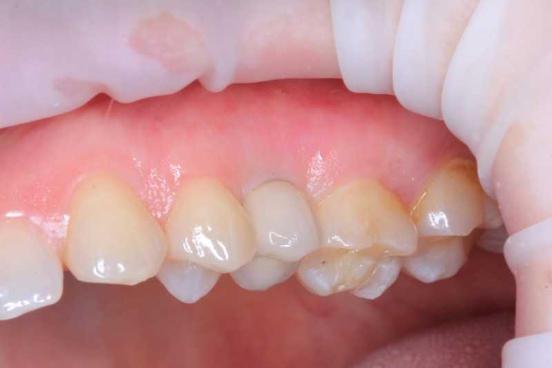
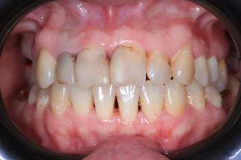
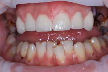
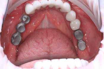
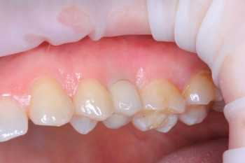
5 работ в портфолио
18 сертификатов
Опыт 9 лет
Топ 30 в рейтинге

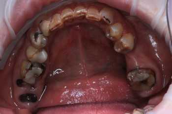
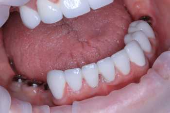
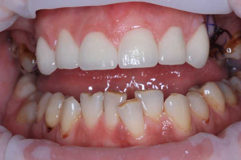
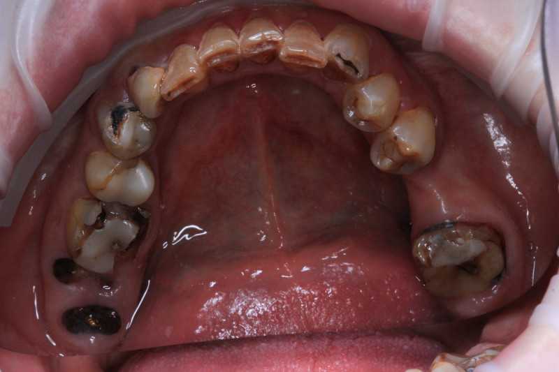
Гасиловский Давид Сергеевич: портфолио (5)

Отзывы о враче Гасиловский Давид Сергеевич

Рейтинг: 5
Отзывов: 21
Положительных: 21
Отрицательных: 0
Последний: 55 дн. назад
5.0
Почему нашим отзывам можно доверять?
После приема Пациент записывался в клинику через 32top. После приёма мы позвонили ему и получили отзыв.
14 марта 2026 г.
1 2 3 4 5
Клинику и врача нашла в интернете. Прошла лечение, качеством и результатом довольна, делала протезирование. Давид Сергеевич очень хороший специалист, опытный и внимательный, лечение прошло комфортно. Буду обращаться в клинику при необходимости.
25 октября 2020 г.
1 2 3 4 5
Ставил импланты у доктора Гасиловского Д.С 3 года назад. Я и тогда благодарность написал, не помню на каком сайте уже, и сейчас решил написать, потому что время прошло, зубы не болят, проблем нет, а это хороший показатель. В общем сносу им нет! Еще раз благодарю доктора за его работу!
22 октября 2020 г.
1 2 3 4 5
Хочу выразить благодарность Давиду Сергеевичу за Ваш профессионализм и внимание к пациенту! Очень боялась имплантации! Все прошло безболезненно, уже даже забыла, что моего зубика там не было! Вы Врач с большой буквы!!!!
19 октября 2020 г.
1 2 3 4 5
Очень понравилась работа врача Давида Сергеевича. Мне повезло: врач делал установку двух имплантов, все выполнил один доктор, не пришлось привыкать к другим, это для меня всегда трудно. Объяснила ситуацию и он пошел мне навстречу. Сейчас улыбаюсь во весь рот!! Успехов вам и процветания !!! Все мои знакомые - ваши пациенты!!
17 октября 2020 г.
1 2 3 4 5
Хочу выразить благодарность Давиду Сергеевичу, замечательный врач - все сделал быстро и красиво. Имплантация прошла незаметно и потом совсем не болело! Улыбаюсь теперь без стеснения!!!!
14 октября 2020 г.
1 2 3 4 5
Выражаю огромную признательность врачу имплантологу Давиду Сергеевичу за его потрясающий профессионализм, огромное чувство юмора и умение поддержать морально пациента, за его молодость в душе и способность дарить пациенту веру в себя и свои силы. Чудесный доктор! Такой слаженности в действиях, точности, ювелирности я не видела за всю свою долгую жизнь ни у одного стоматолога. Добра вам, вашей клинике, всем вашим пациентам! С глубоким уважением и признательностью.
11 октября 2020 г.
1 2 3 4 5
У доктора Гасиловского Д.С проходила имплантацию. Великолепный доктор, спасибо ему большое за мастерство. Моя мама сейчас в 67 лет поставила 4 импланта, и по прошествию 3 дней все отлично. У доктора золотые руки. Все закончилось хорошо. Всем рекомендую.
9 октября 2020 г.
1 2 3 4 5
Ставил имплант у Давида Сергеевича все прошло замечательно, безболезненно и качественно. Врач все объяснил, по полочкам разложил. Имплант прижился хорошо, чему очень рад. Администраторы клиники приветливые. Мне понравилось буду рекомендовать своим друзьям.
6 октября 2020 г.
1 2 3 4 5
Давид Сергеевич установил мне импланты и коронки. Сказать, что я довольна результатом – ничего не сказать. Я в ВОСТОРГЕ от его работы и итога!!! Доктор не просто ПРОФЕССИОНАЛ своего дела, но и очень адекватный, приятный и веселый человек. Каждый приём проходил очень весело, интересно, совершенно безболезненно, с невероятной чуткостью и заботой! Хочется пожелать здоровья и процветания, успехов во всех начинаниях!!! Всего самого лучшего!!!
4 октября 2020 г.
1 2 3 4 5
Хочу, выразить благодарность своему врачу Давиду Сергеевичу. Лечила у него зубы и устанавливала имплантанты. Мне очень повезло попасть к хорошему специалисту. Установили, все очень хорошо и быстро, уже привыкла, и самое главное, что имплантанты никак, не отличаются, от моих родных зубов. Спасибо, Вам, за качественную работу.
    Помогите другим сделать правильный выбор — оставьте свой отзыв о докторе
    Написать отзыв

    Услуги стоматолога в других клиниках

    Хирургическая стоматология
    Удаление зубов от 1 150 ₽ до 25 000 ₽
    Удаление кисты и гранулемы зуба от 600 ₽ до 48 500 ₽
    Еще услуги
    Протезирование зубов
    Установка коронки на зуб от 4 500 ₽ до 120 000 ₽
    Виды протезов
    Еще услуги
    Имплантация
    Установка мини-импланта от 3 000 ₽ до 35 000 ₽
    Коронки на имплантах от 12 000 ₽ до 90 000 ₽
    Еще услуги