Фото до и после по услуге Установка виниров в клиниках Москвы

Фотографии до и после: Установка виниров

На странице представлено портфолио стоматологий Москвы с фото работ до и после установки виниров. Здесь вы можете видеть как процедура меняет цвет и форму зубов, скрывает сколы, щели между зубами и корректирует незначительные неровности. Изучите работы до и после установки виниров в стоматологиях Москвы, чтобы оценить профессионализм специалистов и выбрать клинику, которой можно доверить свои зубы.

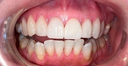
Американский стоматологический центр ДАНТИСТ

Установка виниров

Установка виниров E-max

Тотальная реабилитация улыбки коронками/винирами E-max.

Доктор: Арзуманов Амаяк Аркадьевич

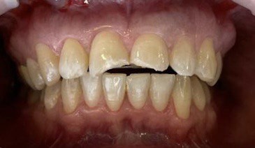
Установка виниров E-max

Восстановление зубов зоны улыбки винирами E-max.

Доктор: Арзуманов Амаяк Аркадьевич

Установка виниров

Исправлена эстетика зоны улыбки. Изготовлено 20 виниров на обе челюсти

Доктор: Арзуманов Амаяк Аркадьевич

Установка виниров E-max

Эффектное преображение передних зубов верхней челюсти. Ранее на фоне флюороза отмечались ярковыраженные изменения зубной эмали. Установлены 6 ультратонких керамических виниров E

Доктор: Бабаян Давид Вячеславович

Установка керамических виниров

В связи с устаревшей реставрацией зубов композитными материалами, провели протезирование коронками и виниром из материала E-Max

Доктор: Бабаян Давид Вячеславович

Установка виниров

Установка керамических виниров

В данном случае на лицо патологическая стираемость эмали и 1 несостоятельная коронка. Провели протезирование с помощью 5 керамических виниров и 1 керамической коронки E-Max

Доктор: Бабаян Давид Вячеславович

Установка керамических виниров

В данном случае на лицо патологическая стираемость эмали и 1 несостоятельная коронка. Провели протезирование с помощью 5 керамических виниров и 1 керамической коронки E-Max.

Доктор: Бабаян Давид Вячеславович

Установка керамических виниров

4 керамических винира с целью закрыть дефекты зубов, защитить от дальнейшего разрушения и восстановить эстетику. Виниры незаметно вписались в зубной ряд.

Доктор: Бабаян Давид Вячеславович

Установка керамических виниров

Установка керамических виниров E-max и коронки E-max на имплантат

Установка виниров E-max

Устранена эстетическая проблема зубов верхней челюсти. Изготовлены и установлены 4 винира E-Max на передние зубы верхней челюсти

Доктор: Арзуманов Амаяк Аркадьевич

Установка виниров

Установка виниров E-max

Проведена работа над эстетическим видом верхней челюсти. Установлено 10 виниров E-Max оттенка Bleach 3

Доктор: Бабаян Давид Вячеславович

Установка керамических виниров

6 керамических виниров на фронтальных зубах верхней челюсти. Натурально, функционально, эстетично!

Доктор: Бабаян Давид Вячеславович

Установка виниров E-max

У пациента выявлена патологическая стираемость зубов. Проведено тотальное протезирование. Изготовлены виниры и коронки E-Max на 10 зубов верхней челюсти и 8 зубов нижней челюст

Доктор: Арзуманов Амаяк Аркадьевич

Установка виниров E-max

Зуб, пораженный кариесом был спасен от удаления. Установлена керамическая коронка E-Max/

Доктор: Бабаян Давид Вячеславович

Все работы клиники
Эстетическая стоматология РЕНУАР (RENUAR)

Установка виниров

Доктор: Трифонов Михаил Михайлович

Установка виниров

Вид сбоку работы по дизайну услыбки с 20 винирами с эффектами естественных зубов

Доктор: Трифонов Михаил Михайлович

Установка виниров

Доктор: Трифонов Михаил Михайлович

Установка виниров

Доктор: Трифонов Михаил Михайлович

Установка виниров E-max

Было обработано 20 зубов в пределах эмали на глубину всего 0,5 мм и после обработки зафиксированы временные виниры по форме соответствующие постоянным, только из пластика. Через неделю были готовые постоянные керамические виниры e.max на 20 зубов, которые мы зафиксировали!

Доктор: Трифонов Михаил Михайлович

Установка виниров E-max

Доктор: Трифонов Михаил Михайлович

Установка виниров

Доктор: Трифонов Михаил Михайлович

Установка керамических виниров

Доктор: Трифонов Михаил Михайлович

Установка керамических виниров

Установлены керамические виниры emax на верхние зубы.

Доктор: Трифонов Михаил Михайлович

Установка виниров E-max

Большая работа по комплексной реабилитации, исправлении скученности, формы, цвета, текстуры, формирование гармоничных пропорций и линий в улыбке и расположении зубов при помощи виниров e.max.

Доктор: Трифонов Михаил Михайлович

Установка виниров E-max

10 виниров e.max на верхней челюсти

Доктор: Трифонов Михаил Михайлович

Установка керамических виниров

Восстановление эстетики керамическими винирами и коронками e.max.

Доктор: Трифонов Михаил Михайлович

Установка керамических виниров

Замена композитных "виниров" на керамические виниры e.max с компьютерным дизайном (digital smile design) и индивидуализацией (прозрачностью и текстурой естественных зубов).

Доктор: Трифонов Михаил Михайлович

Установка виниров E-max

Доктор: Трифонов Михаил Михайлович

Установка виниров

Восстановлена высота прикуса при помощи каппы и постепенным наслоением пластмассы под контролем рентгена. Смоделирована новая форма зубов на диагностических моделях. Проведена минимальная обработка зубов, все зубы остались витальными (живыми). На время изготовления постоянных конструкций зубы были покрыты временными винирами по форме постоянных. Зафиксированы постоянные виниры.

Доктор: Трифонов Михаил Михайлович

Все работы клиники
Клиника доктора Севака ЭСТЕТУС (ESTETUS)

Установка виниров

Пациентка обратилась с задачей исправления эстетики зубов. На планирование и компьютерное моделирование ушло 5 дней. Изготовление виниров - 14 дней.

Доктор: Барсегян Севак Нодарович

Установка виниров

Восстановление формы зубов 1.2, 1.1, 2.1, 2.2 винирами из поливошпатной керамики.

Доктор: Седракян Арсен Артёмович

Установка композитных виниров

Художественная реставрация зуба 1.1 (композитные виниры)

Доктор: Кишмирян Лала Самвеловна

Установка виниров

Виниры - 20 единиц.

Доктор: Барсегян Севак Нодарович

Установка керамических виниров

Керамические виниры E-max, 18 единиц

Доктор: Ахвердян Карен Карленович

Установка виниров

Виниры, 20 единиц.

Доктор: Ахвердян Карен Карленович

Установка виниров

Пациентке было установлено 20 единиц виниров

Доктор: Ахвердян Карен Карленович

Установка виниров

Пациентке были установлены виниры на фронтальную область (зона улыбки).

Доктор: Седракян Арсен Артёмович

Установка виниров

Доктор: Ахвердян Карен Карленович

Установка виниров

Пациентка обратилась с задачей исправления эстетики зубов: заметная стираемость, сколы, дисколорит, неправильное соотношение верх и низ. На планирование и компьютерное моделирование ушло 10 дней. Изготовление виниров - 14 дней.

Доктор: Ахвердян Карен Карленович

Установка виниров

Надежда пришла с четким запросом: избавиться от потемневшей и стертой эмали, скорректировать сколы и неровность зубов. - Провели диагностику каждого зуба с точностью до микрона. - В собственной зуботехнической лаборатории мы изготовили виниры с ювелирным послойным нанесением полевошпатной керамики. - И установили ультратонкие виниры с минимальной обработкой зубов.

Доктор: Седракян Арсен Артёмович

Установка виниров

Ранее пациентке был устновлен несъемный протез на 4 имплантах на верхнюю челюсть. Но из-за сильной разницы с нижними зубами было решено установить виниры.

Доктор: Седракян Арсен Артёмович

Установка композитных виниров

Нижняя челюсть фронтальная группа зубов с 33 по 43 зуб - художественная реставрация (композитные виниры).

Доктор: Кишмирян Лала Самвеловна

Все работы клиники
Стоматология ИМПЛАНТМАСТЕР

Установка виниров E-max

Установка виниров E-max

Установка виниров E-max

Установка виниров E-max

Установка виниров E-max

Установка виниров E-max

Все работы клиники
Стоматология СТАНЦИЯ УЛЫБОК

Установка виниров

Надежда пришла с четким запросом: избавиться от потемневшей и стертой эмали, скорректировать сколы и неровность зубов. - Провели диагностику каждого зуба с точностью до микрона. - В собственной зуботехнической лаборатории мы изготовили виниры с ювелирным послойным нанесением полевошпатной керамики. - И установили ультратонкие виниры с минимальной обработкой зубов.

Доктор: Седракян Арсен Артёмович

Установка композитных виниров

Нижняя челюсть фронтальная группа зубов с 33 по 43 зуб - художественная реставрация (композитные виниры).

Доктор: Кишмирян Лала Самвеловна

Установка виниров

Ранее пациентке был устновлен несъемный протез на 4 имплантах на верхнюю челюсть. Но из-за сильной разницы с нижними зубами было решено установить виниры.

Доктор: Седракян Арсен Артёмович

Установка виниров

Пациентке были установлены виниры на фронтальную область (зона улыбки).

Доктор: Седракян Арсен Артёмович

Установка композитных виниров

Художественная реставрация зуба 1.1 (композитные виниры)

Доктор: Кишмирян Лала Самвеловна

Установка виниров

Восстановление формы зубов 1.2, 1.1, 2.1, 2.2 винирами из поливошпатной керамики.

Доктор: Седракян Арсен Артёмович

Все работы клиники
Медицинский центр СТОМЕД (100MED)

Установка керамических виниров

Установка виниров керамических E-max

Доктор: Баграмян Эдгар Робертович

Установка виниров

Установка виниров

Доктор: Баграмян Эдгар Робертович

Установка керамических виниров

Установка виниров с применением технологии E-max

Доктор: Баграмян Эдгар Робертович

Установка виниров E-max

Виниры на зубы e-max

Доктор: Баграмян Эдгар Робертович

Установка керамических виниров

Установка высокопрочных виниров E-max

Доктор: Баграмян Эдгар Робертович

Все работы клиники
Стоматология ДЕНТАЛ МИР (DЕНТАЛ МИР)

Установка композитных виниров

Установка композитных виниров

Установка композитных виниров

Установка виниров

Все работы клиники
Многопрофильный медицинский центр ВИКСМАЙЛ (WEEKSMILE)

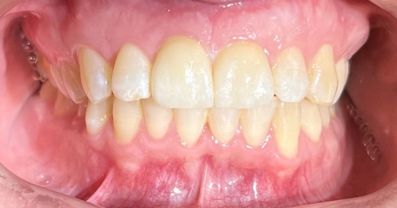
Установка виниров

Девушка обратилась в клинику с жалобой на эстетику верхних зубов в зоне улыбки. Стоматолог-ортопед провёл сканирование и 3D-моделирование, после чего 10 виниров были установлены за 1 приём.

Доктор: Михалев Александр Владимирович

Установка керамических виниров

Для восстановления исходного вида зубов были применены керамические виниры.

Доктор: Чорный Станислав Владимирович

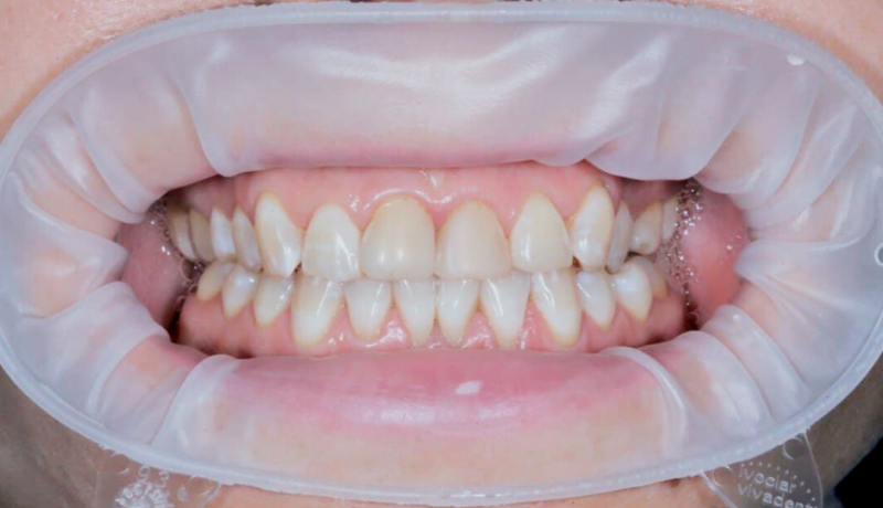
Установка виниров

Пациентка обратилась в клинику с жалобой на эстетику улыбки. После 3D моделирования результата девушке было установлено 20 виниров из керамики E-max: по 10 единиц для каждой челюсти, преображена вся фронтальная зона.

Доктор: Михалев Александр Владимирович

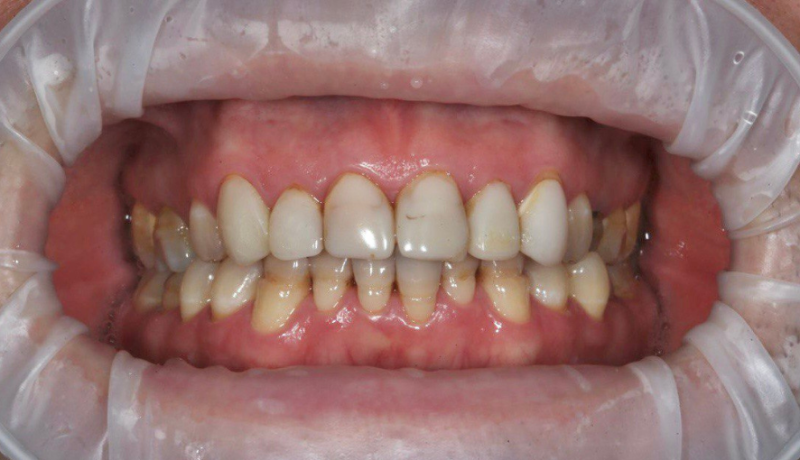
Установка виниров E-max

Проведение установки виниров для улучшения внешнего вида зубов пациента.

Доктор: Чорный Станислав Владимирович

Все работы клиники
Стоматология СТОМСИТИ

Установка виниров

Установка виниров

Установка виниров

Все работы клиники
КЛИНИКА ДОКТОРА МУССУРОВА

Установка виниров

Описание: пациентка обратилась с целью протезирования. Жалобы: на эстетику. Лечение: после санации приступили к протезированию, были изготовлены и зафиксированы на верхней и нижней челюсти 16 виниров и мостовидный керамический протез на верхней челюсти справа.

Доктор: Искандарян Арнольд Ашотович

Установка виниров

Описание: пациент обратился с жалобой на эстетику и затрудненность и дискомфорт пережевывания пищи. Лечение: изготовлены и установлены виниры и накладки на верхнюю и нижнюю челюсть (20 ед).

Доктор: Искандарян Арнольд Ашотович

Установка виниров

Описание: пациентка обратилась с целью протезирования. Жалобы: на эстетику и затрудненное пережевывание пищи. Лечение: после санации полости рта, провели протезирование верхней и нижней челюсти, изготовили и установили виниры (пресскерамика) и коронки (цирконий).

Доктор: Искандарян Арнольд Ашотович

Все работы клиники