Фото до и после по услуге Установка брекетов в клиниках Москвы

Фотографии до и после: Установка брекетов

На странице представлено портфолио стоматологий Москвы с фото работ до и после исправления прикуса брекетами. Мы публикуем результаты разных клинических случаев: от скученности зубов и диастем до сложных ортодонтических аномалий. В каждом случае показан реальный прогресс — от начального состояния зубов до финального результата после снятия брекетов и исправления прикуса. Поэтому вы можете наглядно увидеть, как меняется положение зубов и общая эстетика улыбки. Изучите результаты работ до после и выберите подходящую клинику в Москве.

Клиника доктора Севака ЭСТЕТУС (ESTETUS)

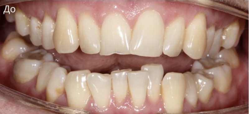
Установка металлических брекетов

Большой дефицит места на верхней челюсти в следствие чего произошло искривление зубов. Срок лечения 1 год и 5 месяцев. Металлическая брекет-система.

Доктор: Хачатрян Лариса Рубеновна

Установка сапфировых брекетов

Недоразвитие нижней челюсти, большой наклон передних зубов. Срок лечения 2 года. Сапфировые брекеты.

Доктор: Хачатрян Лариса Рубеновна

Установка брекетов

Доктор: Манукян Ваагн Альбертович

Установка брекетов

У пациентки была повышенная стираемость зубов из-за нарушений прикуса и отсутствовал 1 зуб. Было принято решение с помощью брекетов сместить зубы так, чтобы они стояли ровно и заняли пустоту отсутствующего зуба.

Доктор: Хачатрян Лариса Рубеновна

Установка сапфировых брекетов

Пациентка обратилась с жалобами на сильно выраженную скученность резцов нижнего зубного ряда. Также в ходе ортодонтического лечения 6-й зуб справа на верхней челюсти ортодонтическим способом «утопили» в костную ткань, поскольку зуб вышел из окклюзионной плоскости. Тем самым значительно уменьшилось оголение шейки зуба. Продолжительность лечения 1 год, сапфировые брекеты.

Доктор: Хачатрян Лариса Рубеновна

Установка брекетов

Лечение на металлических брекетах (1,5 года). Диагноз: - сильные щели между зубами - смещение челюсти

Доктор: Хачатрян Лариса Рубеновна

Установка металлических брекетов

Диагноз: 1. Смыкание справа по дистальному типу; 2. Трансверзальная резцовая окклюзия; 3. Глубокая резцовая окклюзия; 4. Тремы верхнего зубного ряда; 5. Смещение нижних резцов вправо; 6. Супраположение 1.3. Для лечения использована Металлическая лигатурная брекет-система. Срок ношения 1,5 года. В результате лечения мы получили: 1. Нормализацию смыкания в боковых отелов; 2. Нормализация косметического центра; 3. Добились правильного резцового перекрытия; 4. Устранили сужение зубных рядов.

Доктор: Хачатрян Лариса Рубеновна

Установка керамических брекетов

Пациентка обратилась с жалобой на неправильное положение верхнего клыка. Были установлены керамические брекеты, срок ношения 11 месяцев. В результате ортодонтического лечения был успешно исправлен прикус и расширены зубные ряды.

Доктор: Хачатрян Лариса Рубеновна

Установка металлических брекетов

Смещение косметического центра, сужение зубных рядов и большой дефицит места в области нижних резцов. Сильное перекрытие верхними резцами нижних резцов. Срок лечения 1 год и 2 месяца. Металлические брекеты.

Доктор: Хачатрян Лариса Рубеновна

Установка брекетов

Диагнозы: - Недоразвитие верхней челюсти по сагитали; - Смыкание моляров по lll классу; - Обратная резцовая окклюзия; - Трансверзальная резцовая окклюзия (смещение фронтальной группы зубов верхнего зубного ряда вправо); - Укорочение и сужение верхнего зубного ряда. Лечение: 1 этап: стимуляция роста верхней челюсти (маска Диляра); 2 этап: лечение на брекет-системе.

Доктор: Хачатрян Лариса Рубеновна

Установка металлических брекетов

Лечение на металлических брекетах, срок лечение 2 года. Диагноз: - смыкание зубов 1.3, 1.4, 1.5 по дистальному типу; - полатиноокклюзия 1.4, 1.5; - трансверзальная резцовая окклюзия (смещение нижних резцов вправо); - прямая резцовая окклюзия; - сужение верхнего зубного ряда в области премоляров; - скученное положение верхних и нижних резцов; - дизокклюзия в области 2.3; - тортоположение 2.3, 3.3.

Доктор: Хачатрян Лариса Рубеновна

Установка керамических брекетов

Проведено ортодонтическое лечение с помощью брекетов. Пациент носил керамическую брекет-систему в течение 12 месяцев.

Доктор: Хачатрян Лариса Рубеновна

Установка сапфировых брекетов

У пациента было глубокое перекрытие резцов, тремы верхнего зубного ряда (щели), протрузия верхних резцов (выступания). Лечение с помощью сапфировой брекет-системы 12 месяцев.

Доктор: Хачатрян Лариса Рубеновна

Установка сапфировых брекетов

Сапфировые брекеты, срок ношения 1 год.

Доктор: Хачатрян Лариса Рубеновна

Установка сапфировых брекетов

Деформация верхнего зубного ряда слева - сужение, вызывающее ограничение движения нижней челюсти и гипернагрузку боковых зубов. Срок лечения 1 год и 2 месяца. Сапфировые брекеты.

Доктор: Хачатрян Лариса Рубеновна

Установка брекетов

Пациентка пришла по реклмендации. Очень долго выбирала клинику и какую систему брекетов поставить. В результате довольна, что пришла именно к нам!

Доктор: Манукян Ваагн Альбертович

Установка брекетов

Пациентка обратилась с жалобами на выступающие вперёд зубы с большой скученностью и отсутствующим боковым резцом (фото 3), который был благополучно восстановлен консолью с опорой на клык. На место бокового резца (фото 4) сдвинули клык, тем самым обошлись без имплантации! Случай интересен тем, кто боится удаления зубов по ортодонтическим показаниям.

Доктор: Хачатрян Лариса Рубеновна

Установка брекетов

Проблема пациента: узкие зубные ряды, большая скученность и дефицит места во фронтальном отделе. Решение проблемы: ортодонтическое лечение на лигатурных брекетах 1,5 года.

Доктор: Хачатрян Лариса Рубеновна

Установка брекетов

Доктор: Хачатрян Лариса Рубеновна

Установка брекетов

Пациентка обратилась в клинику Севака Нодаровича из другой стоматологии после 3-х лет лечения. Не была удовлетворена результатом и своей улыбкой. Что удалось скорректировать: 1. Исправили положение нижних резцов. Скорректировали косметически центр. 2. Закрыли тремы (щели) зубных рядов. Подготовили верхний зубной ряд к протезированию. Улучшилась эстетика улыбки. 3. На достижение красивой и функциональной улыбки потребовалось 8 месяцев ортодонтического лечения.

Доктор: Хачатрян Лариса Рубеновна

Установка металлических брекетов

Металлические брекеты, срок ношения 1,5 года. Диагноз при поступлении: - Смыкание по дистальному типу; - Трансверзальная сагитальная резцовая дизокклюзия; - Сужение зубных рядов; - Бипротрузия резцов верхней и нижней челюсти; - Скученность резцов; - Супраположение 2.3 зуба; - Вестибулоположение 2.3, 3.3 зубов.

Доктор: Хачатрян Лариса Рубеновна

Все работы клиники
Медицинский центр СТОМЕД (100MED)

Установка брекетов

Исправление скученного положения зубов, неправильного прикуса установкой брекет-системы

Доктор: Киракосян Мариа Оганнесовна

Установка брекетов

Лечение скученного положения зубов, неправильного прикуса с установкой брекет-системы

Доктор: Киракосян Мариа Оганнесовна

Установка брекетов

Установка брекетов при скученности, открытом прикусе

Доктор: Киракосян Мариа Оганнесовна

Установка брекетов

Установка брекетов при скученности зубов и недостатке места

Доктор: Киракосян Мариа Оганнесовна

Установка брекетов

Установка брекетов при скученности, недостатке места

Доктор: Киракосян Мариа Оганнесовна

Установка металлических брекетов

Лечение скученности зубов при помощи брекет-системы

Доктор: Киракосян Мариа Оганнесовна

Установка лингвальных брекетов

Проблема: обратная резцовая окклюзия в области зубов 12, 11, 22. Смыкание по дистальному типу справа в области зубов 17, 16, 15, 14 (мезиальный сдвиг зубов 17, 16, 15, 14). Дизокклюзия в области зубов 13, 23. Сужение зубных рядов. Скученное положение фронтальной группы зубов верхнего и нижнего зубного ряда. Супра-вестибулоположение зубов 13, 23. Выполненные процедуры: лечение проводилось на металлической лигатурной брекет-системе.

Доктор: Тарасова Екатерина Александровна

Установка брекетов

Сужение из-за ротового дыхания, скученность зубов, несоответствие размеров челюстей

Доктор: Киракосян Мариа Оганнесовна

Установка брекетов

Лечение скученности зубов при помощи брекетов

Доктор: Киракосян Мариа Оганнесовна

Установка металлических брекетов

Установка брекетов при скученности, частичной вторичной адентии

Доктор: Киракосян Мариа Оганнесовна

Все работы клиники
Американский стоматологический центр ДАНТИСТ

Установка брекетов Damon

Исправление прикуса на брекет-системе Damon q, четырнадцать месяцев

Доктор: Жвания Нала Анзоровна

Установка брекетов Damon

Коррекция глубокого прикуса с использованием брекет-системой Damon, 1,5 года

Доктор: Жвания Нала Анзоровна

Установка брекетов Damon

Коррекция глубокого прикуса с брекет-системой Damon - 1,5 года

Доктор: Жвания Нала Анзоровна

Установка брекетов Damon

Исправление прикуса на брекет-системе Damon q, 14 месяцев

Доктор: Жвания Нала Анзоровна

Установка металлических брекетов

Ортодонтическое лечение с использованием металлических брекетов

Установка брекетов Damon

Фото на этапе лечения через 4 месяца, брекеты Damon Q

Доктор: Жвания Нала Анзоровна

Установка сапфировых брекетов

Ортодонтическое лечение с использованием сапфировых брекетов

Все работы клиники
Стоматология СТОМСИТИ

Установка брекетов

Доктор: Ильиченко (Журавская) Оксана Артуровна

Установка брекетов

Доктор: Ильиченко (Журавская) Оксана Артуровна

Установка брекетов

Динамика за 4 месяца лечения на брекет-системе

Доктор: Ильиченко (Журавская) Оксана Артуровна

Установка брекетов

Лечение пациента с дисфункцией ВНЧ сустава на брекет системе

Доктор: Ильиченко (Журавская) Оксана Артуровна

Установка брекетов

Лечение на брекет-системе

Доктор: Ильиченко (Журавская) Оксана Артуровна

Все работы клиники
Стоматологическая клиника ДЕНТАЛ СТУДИО

Установка брекетов

Доктор: Агаева Ляман Алиевна

Установка брекетов

Завершено ортодонтическое лечение с применением брекет-системы. Лечение пациента заняло один год и 10 мес.

Доктор: Агаева Ляман Алиевна

Установка брекетов

Доктор: Агаева Ляман Алиевна

Установка керамических брекетов

Доктор: Агаева Ляман Алиевна

Установка самолигирующих брекетов

Пациентка (14 лет) обратилась с жалобой на неровность передних зубов, а также клыков. Ортодонтическое лечение проходило на керамической самолигирующейся системе.

Доктор: Агаева Ляман Алиевна

Все работы клиники
КЛИНИКА ДОКТОРА МУССУРОВА

Установка брекетов

Создание места под имплантацию зуба 2.5 с помощью частичной брекет-системы с помощью минивинта за 5 мес

Доктор: Клюжева Анна Олеговна

Установка металлических брекетов

Лечение на металлической брекет-системе, прогресс после 5 месяцев

Доктор: Клюжева Анна Олеговна

Установка металлических брекетов

Лечение на металлической брекет-системе закончено за 2 года

Доктор: Клюжева Анна Олеговна

Установка металлических брекетов

Лечение на металлической брекет-системе, прогресс после 10 месяцев

Доктор: Клюжева Анна Олеговна

Все работы клиники
Стоматологическая клиника ОРТО ПОИНТ (ORTHO POINT)

Установка брекетов

Доктор: Тарба Лана Ивановна

Установка брекетов

Доктор: Тарба Лана Ивановна

Установка брекетов

Доктор: Тарба Лана Ивановна

Установка брекетов

Доктор: Тарба Лана Ивановна

Все работы клиники
Стоматологическая клиника ЛА ПЕРЕГРИНА

Установка брекетов

Комплексное лечение - исправление прикуса + протезирование

Доктор: Башев Сергей Сергеевич

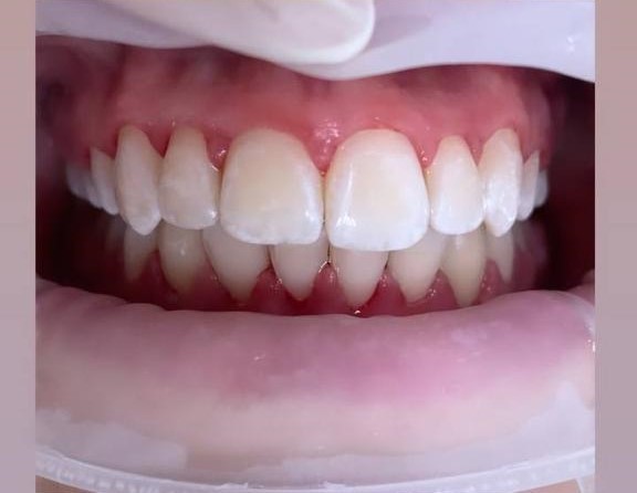
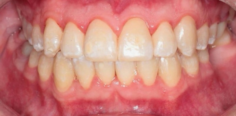
Установка брекетов

«Стеснялась улыбаться из-за промежутков между зубами»... Хотим поделиться с вами историей одной девочки, которая решилась поменять свою жизнь из-за дискомфорта во время улыбки. Девочка в возрасте 13 лет, попросила маму, прийти к ортодонту, чтобы скорректировать ее улыбку, так как ей не нравятся промежутки между зубами. Жалобы: - глубокий прикус - промежутки между зубами Было предложено лечение на элайнерах, так как это было бы удобнее и комфортнее для нее. НО девочка категорически отказалась! Она хотела, чтобы все видели, что она проходит ортодонтическое лечение. Поэтому было принято решение об установке наиболее видимой системы, а именно металлической брекет-системы. Лечение на брекет-системе заняло 1,5 года. За это время было сделано: - закрыты промежутки - уплотнены контакты - завершили лечение в правильном смыкании - зафиксировали несъемный ретейнер для удержания результата После снятия брекет-системы, девочке улыбка не нравилась в идеале, ей бы очень хотелось, чтобы ее зубы были крупнее. Сейчас мы отдыхаем, после ношения брекет-системы и проходим терапевтическую санацию полости рта. А далее, планируем коррекцию десневого контура, через хирургический шаблон, с помощью этого метода мы увеличим обьем белого и улыбка станет ярче!

Доктор: Кудрякова Динара Фяритовна

Установка брекетов

Сергей обратился в нашу клинику к стоматологу-ортодонту по рекомендации, хотя ранее уже прошел консультацию в другой клинике, но он очень хотел индивидуальный подход и ... И вышел из La Peregrina с новой улыбкой! Наш герой пришел на консультацию с жалобой о болезненных ощущениях в области челюстных суставов. На подробной диагностике оказалось, что у Сергея : -сужение верхнего и нижнего зубного ряда -скученность -вынужденное положение челюсти -двнчс -щелчки -тортоаномалия премоляров-ротация После диагностики было принято решение начать лечение на сплинт системе (метод исправления патологий височно-нижнечелюстного сустава (ВНЧС) с помощью специальной корректирующей шины). Далее спустя 6 месяцев перешли к ортодонтическому лечению. Установили брекет-систему на верхнюю челюсть, затем установили 2 минивинта на верхней челюсти для дистализации, а после приступили к тем же манипуляциям на нижней челюсти, перенесли высоту сплинта с помощью окклюзионных накладок, зафиксировали брекет-систему. Провели коррекцию дистальной ротации премоляров с помощью кнопок. Также установили минивинты и на нижнюю челюсть. После достижения необходимого положения Зубов мы сняли минивинты. И уже сейчас завершили лечение на верхней челюсти. И уже спустя 2 месяца снимем брекет-систему и на нижней челюсти

Установка брекетов

Лечение на брекет системе

Доктор: Башев Сергей Сергеевич

Все работы клиники
Клиника КРАФТВЭЙ (KRAFTWAY)

Установка брекетов

Лечение на брекетах

Доктор: Жердина Алина Олеговна

Все работы клиники
Стоматология МЕЛИС

Установка брекетов

Работа врача-ортодонта Будуновой Маржанат Каримовны

Все работы клиники