Фото до и после по услуге Профгигиена в клиниках Москвы

Фотографии до и после: Профгигиена

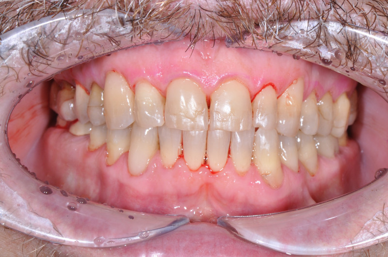
На странице представлено портфолио стоматологий Москвы с работами до и после профессиональной чистки зубов. В нашем портфолио собраны разные клинические случаи: от удаления незначительного налета до снятия массивного поддесневого камня. Здесь вы можете увидеть, как возвращается естественный цвет и внешний вид зубов после процедуры. Изучите результаты до и после чистки зубов, чтобы увидеть реальный эффект и выбрать клинику в Москве, где профессиональная гигиена поможет вернуть зубам здоровый вид.

Клиника доктора Севака ЭСТЕТУС (ESTETUS)

Профгигиена

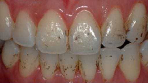
Пациентке провели профгигиену зубов и полости рта и выровняли края зубов в зоне улыбки

Доктор: Карапетян Фреда Сергеевна

Профгигиена

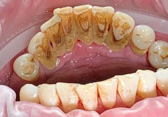
Пациентка проходит ортодонтическое лечение в нашей клинике. Регулярно приходит на профессиональную чистку.

Доктор: Гарибян Эдгар Артурович

Профгигиена

Пациентка регулярно приходит за профессиональной гигиеной зубов и полости рта

Доктор: Карапетян Фреда Сергеевна

Профгигиена

Пациентка проходит ортодонтическое лечение в нашей клинике. Регулярно приходит на профессиональную чистку.

Доктор: Гарибян Эдгар Артурович

Все работы клиники
СЕМЕЙНАЯ СТОМАТОЛОГИЯ МИХАИЛА АГАМИ (AMBC)

Профгигиена

Доктор: Репина Светлана Александровна

Профгигиена

Доктор: Репина Светлана Александровна

Профгигиена

Доктор: Репина Светлана Александровна

Профгигиена

Доктор: Репина Светлана Александровна

Все работы клиники
Стоматологическая клиника ОРТО ПОИНТ (ORTHO POINT)

Профгигиена

Профгигиена

Доктор: Григорян Лилит Левоновна

Профгигиена

Доктор: Григорян Лилит Левоновна

Все работы клиники
Стоматология СТОМСИТИ

Чистка зубов Air-flow

Чистка зубов Air-flow

Чистка зубов Air-flow

Все работы клиники
Стоматология СТАНЦИЯ УЛЫБОК

Профгигиена

Пациентка регулярно приходит за профессиональной гигиеной зубов и полости рта

Доктор: Карапетян Фреда Сергеевна

Профгигиена

Пациентке провели профгигиену зубов и полости рта и выровняли края зубов в зоне улыбки

Доктор: Карапетян Фреда Сергеевна

Все работы клиники
Сеть стоматологических клиник БЬЮТИ СТОМ

Профгигиена

Доктор: Додова Залина Мустапаевна

Все работы клиники
Клиника КРАФТВЭЙ (KRAFTWAY)

Профгигиена

Доктор: Дилбарян Назели Оганесовна

Все работы клиники
Стоматология АНИДЕНТ (ANIDENT)

Профгигиена

Доктор: Островская Виктория Фёдоровна

Профгигиена

Доктор: Островская Виктория Фёдоровна

Профгигиена

Доктор: Островская Виктория Фёдоровна

Профгигиена

Доктор: Мавланов Эльнур Гаджахмедович

Профгигиена

Доктор: Островская Виктория Фёдоровна

Профгигиена

Доктор: Островская Виктория Фёдоровна

Профгигиена

Доктор: Мавланов Эльнур Гаджахмедович

Профгигиена

Доктор: Островская Виктория Фёдоровна

Профгигиена

Доктор: Островская Виктория Фёдоровна

Профгигиена

Доктор: Мавланов Эльнур Гаджахмедович

Профгигиена

Доктор: Мавланов Эльнур Гаджахмедович

Профгигиена

Доктор: Островская Виктория Фёдоровна

Профгигиена

Доктор: Островская Виктория Фёдоровна

Профгигиена

Доктор: Островская Виктория Фёдоровна

Все работы клиники