Фото до и после по услуге Протезирование зубов в клиниках Москвы

Фотографии до и после: Протезирование зубов

На странице представлено портфолио стоматологий Москвы с фото работ до и после протезирования зубов. Мы собрали результаты разных вариантов протезирования: одиночные коронки (керамические, циркониевые), мостовидные протезы, протезы на имплантах и полные съемные протезы. Вы можете видеть, как восстанавливаются полностью утраченные или сильно разрушенные зубы, возвращается жевательная функция и естественный вид улыбки. Изучите результаты до и после протезирования и выберите подходящую клинику в Москве, чтобы вернуть здоровье и красоту вашей улыбке.

Стоматология ИМПЛАНТМАСТЕР

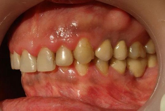
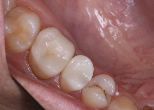
Установка металлокерамической коронки

Установка металлокерамической коронки

Установка металлокерамической коронки

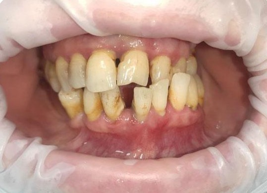
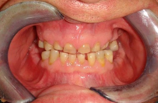
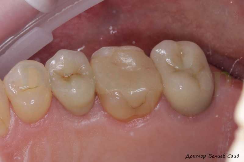
Установка коронки из диоксида циркония

Установка металлокерамической коронки

Установка коронки из диоксида циркония

Установка коронки из диоксида циркония

Установка коронки из диоксида циркония

Установка керамической коронки

Установка металлокерамической коронки

Установка керамической коронки

Установка коронки из диоксида циркония

Установка коронки из диоксида циркония

Установка коронки из диоксида циркония

Установка коронки из диоксида циркония

Установка металлокерамической коронки

Установка коронки из диоксида циркония

Установка керамической коронки

Все работы клиники
КЛИНИКА ДОКТОРА МУССУРОВА

Протезирование зубов

Доктор: Искандарян Арнольд Ашотович

Протезирование зубов

Лечение: Лечение кариеса и его осложнений. После устранения всех проблем – восстановление и преображение улыбки с помощью коронок и виниров.

Доктор: Искандарян Арнольд Ашотович

Протезирование зубов

Жалобы: эстетический недостаток, неприятный запах из полости рта и постоянная кровоточивость десен при чистке зубов. Лечение: проведена терапевтическая подготовка, протезирование верхней челюсти коронками из диоксида циркония в ходе которого прикус был поднят суммарно на 4мм (из-за снижения высоты прикуса).

Доктор: Грибачев Владислав Андреевич

Протезирование зубов

28 единиц виниров, коронок, полукоронок и накладок. Использовался материал E-Max литий дисиликат. Один из тех немногих случаев, когда мы практически не вмешиваемся в функцию зубов, а лишь меняем старые нефункциональные протезы (мостовидные) и восстанавливаем эстетику.

Доктор: Муссуров Иван Андреевич

Протезирование зубов

Лечение: Лечение кариеса и его осложнений. После – протезирование. Использование современных коронок и виниров позволило нам восстановить как функциональность зубного ряда, так и достичь высоких эстетических результатов.

Доктор: Искандарян Арнольд Ашотович

Протезирование зубов

Лечение: Тотальная реабилитация керамическими винирами и коронками.

Доктор: Искандарян Арнольд Ашотович

Протезирование зубов

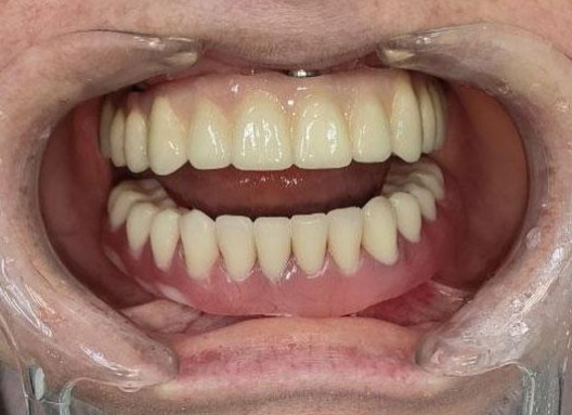
Жалобы: отсутствие зубов, нарушение функции жевания, эстетический недостаток. Лечение: проведена хирургическая подготовка (установлены 6 имплантатов), протезирование верхней челюсти циркониевой дугой по цифровому протоколу (фото с белыми зубами - примерка цифрового прототипа будущей конструкции), на нижней челюсти замена старой ортопедической конструкции на временную, далее планируется хирургическая подготовка и протезирование нижней челюсти.

Доктор: Грибачев Владислав Андреевич

Установка коронки из диоксида циркония

Описание: пациентка обратилась с целью повторного протезирования (ранее были цстановленны металлокерамические коронки, после них была сделана композитная реставрация другим доктором). Лечение: провели повторное протезирование с формированием десневого края, изготовлены и зафиксированы церкониевые коронки повышенной эстетики.

Доктор: Искандарян Арнольд Ашотович

Протезирование зубов

Пациентка обратилась с целью восстановления зубов верхней челюсти. После диагностики и изучения КТ было принято решение, что сохранение оставшихся зубов на верхней челюсти не целесообразно. Лечение: хирургическая подготовка на верхней челюсти, установка 4-х имплантатов по системе Все-на-4; после интеграции имплантатов, был изготовлен и установлен акриловый армированный протез с опорой на импланты.

Доктор: Грибачев Владислав Андреевич

Установка коронки из диоксида циркония

Жалобы: на эстетический недостаток, неприятный запах из полости рта, периодически кровоточивость десен при чистке зубов. Лечение: проведена терапевтическая подготовка, протезирование верхней челюсти циркониевыми коронками, далее планируется покрытие ортопедическими конструкциями нижней челюсти

Доктор: Грибачев Владислав Андреевич

Протезирование зубов

Жалобы: эстетический недостаток, неприятный запах из полости рта, кровоточивость десен при чистке зубов. Лечение: проведена большая терапевтическая и хирургическая подготовка, протезирование челюсти керамическими накладками и коронками из диоксида циркония (в том числе на имплантатах), в ходе которого был поднят прикус и найдено новое терапевтическое положение нижней челюсти.

Доктор: Грибачев Владислав Андреевич

Протезирование зубов

Генерализованная горизонтальная стираемость зубов. Лечение: Тотальная реабилитация керамическими реставрациями с хирургией (установка имплантатов в области отсутствующих зубов).

Доктор: Искандарян Арнольд Ашотович

Протезирование зубов

Доктор: Искандарян Арнольд Ашотович

Протезирование зубов

Жалобы: эстетический недостаток, неприятный запах из полости рта, кровоточивость десен при чистке зубов. Лечение: проведена большая терапевтическая и хирургическая подготовка, протезирование верхней челюсти керамическими накладками и коронками из диоксида циркония.

Доктор: Грибачев Владислав Андреевич

Протезирование зубов

Жалобы: эстетический недостаток, дисколорит зубов в зоне улыбки, неприятный запах из полости рта, кровоточивость десен при чистке зубов. Лечение: от ортодонтического лечения пациентка отказалась, была проведена терапевтическая подготовка, протезирование верхней и нижней челюсти керамическими накладками и коронками из диоксида.

Доктор: Грибачев Владислав Андреевич

Все работы клиники
Стоматология СТОМСИТИ

Установка коронки из диоксида циркония

Установка коронки из диоксида циркония

Протезирование зубов

Установка коронки из диоксида циркония

Установка мостовидного протеза

Протезирование зубов

Установка мостовидного протеза

Установка мостовидного протеза

Установка коронки из диоксида циркония

Доктор: Шукюров Рамид Шакирович

Установка коронки из диоксида циркония

Доктор: Шукюров Рамид Шакирович

Протезирование зубов

Установка коронки из диоксида циркония

Доктор: Шукюров Рамид Шакирович

Все работы клиники
Многопрофильный медицинский центр ВИКСМАЙЛ (WEEKSMILE)

Протезирование зубов

Пациентке изготовлено и установлено два полночелюстных несъёмных протеза на верхнюю и нижнюю челюсть. Изделия базируются на системе (All-on-6) из шести имплантатов Nobel, установленных в сторонней клинике.

Доктор: Михалев Александр Владимирович

Установка съемного протеза

Верхние зубы пациентки были восстановлены при помощи базальной имплантации, а нижние жевательные зубы при помощи съемных зубных протезов.

Доктор: Чорный Станислав Владимирович

Установка условно-съемного протеза

Проведено операция по однофазной установке зубных имплантов и восстановлению зубов с помощью условно-съемных протезов.

Доктор: Чорный Станислав Владимирович

Протезирование зубов

Женщина обратилась с жалобой на полное пародонтоз 3-4 степени и выраженную подвижность зубов. Хирург Вознюк Владимир Александрович за один приём установил импланты по методу All-on-4 на верхнюю челюсть и All-on-6 на нижнюю. После интеграции имплантов установлен цельноциркониевый несъёмный постоянный протез.

Доктор: Вознюк Владимир Александрович

Протезирование зубов

Пациентка обратилась с жалобами на эстетический дефект, подвижность зубов нижней челюсти и разрушение верхнего протеза. Пациентке были удалены все зубы на нижней челюсти, снятие протеза на верхней, а после - проведена комплексная имплантация all-on-6 с установкой шести имплантов на каждую из челюстей и фиксацией несъёмных метало-пластмассовых мостовидных протезов, замещающих весь зубной ряд.

Доктор: Вознюк Владимир Александрович

Установка условно-съемного протеза

Проведено восстановление зубов при помощи условно-съемных протезов с опорой на базальные импланты.

Доктор: Чорный Станислав Владимирович

Установка мостовидного протеза

Удаление остатков разрушенных зубов под мостовидным протезом, изготовление и фиксация съемного протеза.

Доктор: Чорный Станислав Владимирович

Установка металлокерамической коронки

Проведено лечение зубов и изготовление коронок с опорой на родные зубы пациента.

Доктор: Чорный Станислав Владимирович

Все работы клиники
Американский стоматологический центр ДАНТИСТ

Установка керамической коронки

Исправлен дефект эмали передних зубов верхней челюсти. Установлено 10 коронок E-Max, при этом сохранен натуральный цвет зубов и исправлен недостаток по форме. Зубы в полной безопасности.

Доктор: Бабаян Давид Вячеславович

Установка бюгельного протеза

Протезирование зубов

Тотальная реабилитация на имплантах. Сроки лечения и протезирования 6 месяцев. Пациент во время лечения использовал временную несъемную конструкцию. Во время лечения - решена проблема с дисфункцией ВНЧС, эстетическая и функциональная реабилитация.

Доктор: Бабаян Давид Вячеславович

Установка коронки из диоксида циркония

Протезирование жевательной группы зубов коронками на основе диоксида циркония с опорой на импланты, фронтальная группа зубов восстановлена коронками Emax

Доктор: Арзуманов Амаяк Аркадьевич

Установка коронки из диоксида циркония

Замена пломб, установка диоксид-циркониевой коронки

Установка керамической коронки

Устранен скол зуба керамической коронкой E-Max, изготовленной мастер-техником. Одна из самых сложных задач в современном протезировании - гармонично вписать коронку в уже имеющийся зубной ряд.

Доктор: Бабаян Давид Вячеславович

Установка керамической коронки

Установка коронки из диоксида циркония

Исправление прикуса взрослому человеку без брекетов. Изготовлены и установлены коронки на основе диоксида циркония на верхнюю и нижнюю челюсть

Доктор: Арзуманов Амаяк Аркадьевич

Установка съемного протеза

В данном случае произведено комбинированное протезирование.Изготовлены коронки на передние зубы нижней челюсти, установлен частично съёмный протез Quattro Ti. На верхнюю челюст

Доктор: Арзуманов Амаяк Аркадьевич

Все работы клиники
Стоматология УЛЫБКА ПРО (УЛЫБКА PRO)

Установка коронки из диоксида циркония

Ввиду неудовлетовориетльной эстетики и жалоб на боль при накусывании пациенту было предложено перепротезирование фронтальной группы зубов.

Доктор: Благушина Наталия Алексеевна

Установка коронки из диоксида циркония

Доктор: Рудометова Марина Алексеевна

Установка керамической коронки

Восстановление разрушенного 26 зуба с помощью стекловолоконного штифта и протезирование e.max коронкой

Доктор: Благушина Наталия Алексеевна

Установка коронки из диоксида циркония

Доктор: Зятева Инна Владимировна

Все работы клиники
Стоматология ДЕНТАЛ МИР (DЕНТАЛ МИР)

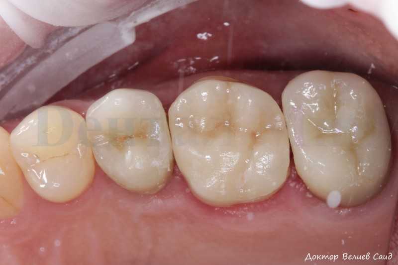
Установка коронки из диоксида циркония

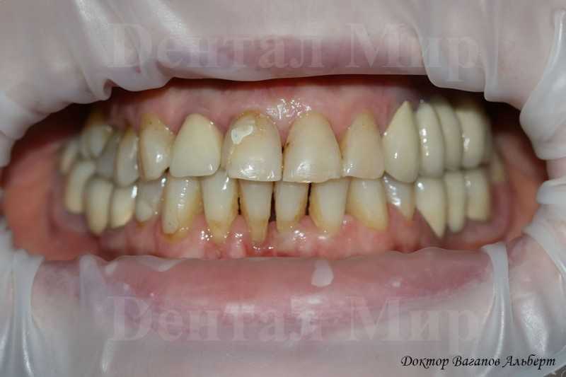
Установка съемного протеза

Установка коронки из диоксида циркония

Протезирование зубов

Протезирование зубов

Установка металлокерамической коронки

Микропротезирование

Установка коронки из диоксида циркония

Все работы клиники
Сеть стоматологических клиник БЬЮТИ СТОМ

Протезирование зубов

Доктор: Харченко Роман Александрович

Установка керамической вкладки

Доктор: Каминская (Кузнецова) Анна Юрьевна

Установка керамической вкладки

Доктор: Каминская (Кузнецова) Анна Юрьевна

Установка керамической вкладки

Доктор: Каминская (Кузнецова) Анна Юрьевна

Установка металлокерамической коронки

Доктор: Харченко Роман Александрович

Все работы клиники
Клиника доктора Севака ЭСТЕТУС (ESTETUS)

Протезирование зубов

Протезирование при полной и частичной адентии

Доктор: Барсегян Севак Нодарович

Протезирование зубов

Доктор: Барсегян Севак Нодарович

Установка металлокерамической коронки

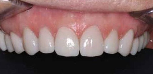
Пациентка обратилась с жалобой на эстетику зоны улыбки и невозможность использования резцов при откусывании твёрдой пищи. Также наблюдалось нарушении дикции. Передние зубы пациентки из-за сильных кариозных разрушений и многочисленных реставраций не подлежали восстановлению. Было решено провести протезирование 4-х резцов верхней челюсти с использованием коронок из металлокерамики.

Доктор: Барсегян Севак Нодарович

Установка мостовидного протеза

Установлены циркониевые мосты на имплантах Osstem. Восстановлены оба зубных ряда

Доктор: Ахвердян Карен Карленович

Протезирование зубов

Доктор: Барсегян Севак Нодарович

Все работы клиники
Стоматология ДЕНТУМ

Установка керамической коронки

Пациент обратился с проблемой повышенной стираемости передних зубов, нарушение эстетики улыбки. ⠀ ▪️Решение: установка шести керамических коронок EMAX на передние верхние зубы.

Установка коронки из диоксида циркония

В области зуба 14 - замена старой временной коронки на импланте на постоянную циркониевую ▫Зуб 15- установка циркониевой коронки ▫Пластика десны в области импланта

Доктор: Гафизов Ален Алиевич

Установка керамической вкладки

Пациент обратился с жалобами на разрушение зуба. Мы предложили сохранить нерв в зубе и восстановить его керамической вкладкой emax.

Доктор: Гафизов Ален Алиевич

Установка керамической коронки

Восстановление разрушенного зуба керамической коронкой Emax

Доктор: Гафизов Ален Алиевич

Установка керамической коронки

Доктор: Гафизов Ален Алиевич

Все работы клиники